Warehouse Overstock Promotion |  Save 10%  on Premium Lab Supplies |  Shop Now

Menu

This product has been added to the cart.

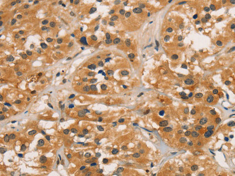
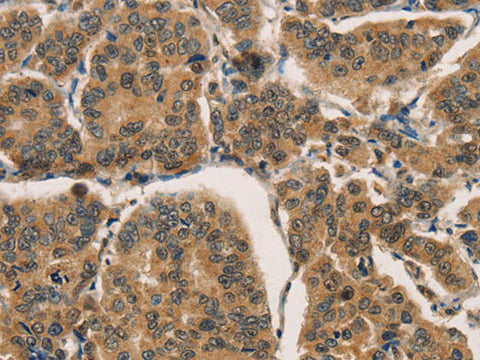
CTNNBIP1 Polyclonal Antibody

SKU: E-AB-11109-200

  • $ 55995
  • Save $ 4000


Request a Quote

CTNNBIP1 Polyclonal Antibody

 

SKU # E-AB-11109
Reactivity Human, Mouse
Host Rabbit
Applications IHC

 

Product Details

Isotype IgG
Host Rabbit
Reactivity Human,  Mouse
Applications IHC
Clonality Polyclonal
Immunogen Recombinant protein of human CTNNBIP1
Abbre CTNNBIP1
Synonyms Beta catenin interacting protein 1,  Beta catenin interacting protein ICAT,  Beta-catenin-interacting protein 1,  CNBP1,  CTNNBIP 1,  CTNNBIP1,  Catenin beta interacting protein 1,  ICAT,  Inhibitor of beta catenin and Tcf 4,  Inhibitor of beta-catenin and Tcf-4,  MGC15093
Swissprot
Cellular Localization Cytoplasm. Nucleus.
Concentration 0.4 mg/mL
Buffer Phosphate buffered solution, pH 7.4, containing 0.05% stabilizer and 50% glycerol.
Purification Method Affinity purification
Research Areas Epigenetics and Nuclear Signaling,  Signal Transduction,  Stem Cells
Conjugation Unconjugated
Storage Store at -20°C Valid for 12 months. Avoid freeze / thaw cycles.
Shipping The product is shipped with ice pack,upon receipt,store it immediately at the temperature recommended.

 

Related Reagents

Applications Recommended Dilution
IHC 1:50-1:200

 

Background

The protein encoded by this gene binds CTNNB1 and prevents interaction between CTNNB1 and TCF family members. The encoded protein is a negative regulator of the Wnt signaling pathway. Two transcript variants encoding the same protein have been found for this gene.