Warehouse Overstock Promotion |  Save 10%  on Premium Lab Supplies |  Shop Now

Menu

This product has been added to the cart.

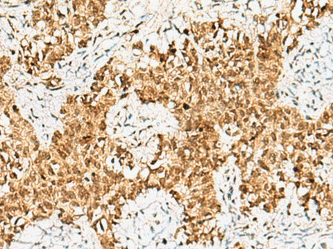
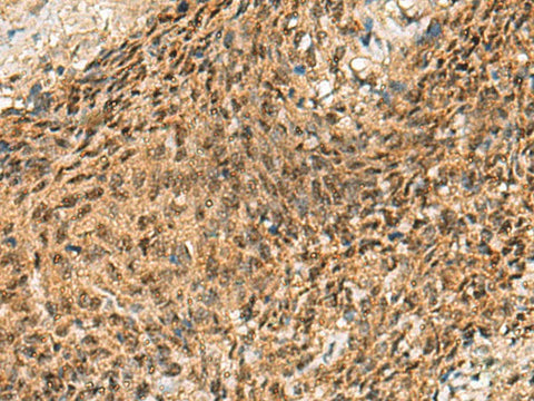
CRCP Polyclonal Antibody Reactivity Human

SKU: E-AB-52562-200

  • $ 55995
  • Save $ 4000


Request a Quote

CRCP Polyclonal Antibody Reactivity Human

 

SKU # E-AB-52562
Reactivity Human
Host Rabbit
Applications IHC

 

Product Details

Isotype IgG
Host Rabbit
Reactivity Human
Applications IHC
Clonality Polyclonal
Immunogen Fusion protein of human CRCP
Abbre CRCP
Synonyms CGRP receptor component protein,  CGRP-RCP,  CGRP-receptor component protein,  CGRPRCP,  CRCP,  Calcitonin gene related peptide receptor component,  Calcitonin gene related peptide receptor component protein,  Calcitonin gene-related peptide-receptor component protein
Swissprot
Cellular Localization Nucleus. Cell membrane.
Concentration 1.14 mg/mL
Buffer Phosphate buffered solution, pH 7.4, containing 0.05% stabilizer and 50% glycerol.
Purification Method Antigen affinity purification
Research Areas Cancer,  Cardiovascular,  Neuroscience,  Signal transduction
Conjugation Unconjugated
Storage Store at -20°C Valid for 12 months. Avoid freeze / thaw cycles.
Shipping The product is shipped with ice pack, upon receipt, store it immediately at the temperature recommended.

 

Related Reagents

Applications Recommended Dilution
IHC 1:50-1:200

 

Background

This gene encodes a membrane protein that functions as part of a receptor complex for a small neuropeptide that increases intracellular cAMP levels. Alternate transcriptional splice variants, encoding different isoforms, have been characterized.