Warehouse Overstock Promotion |  Save 10%  on Premium Lab Supplies |  Shop Now

Menu

This product has been added to the cart.

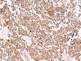
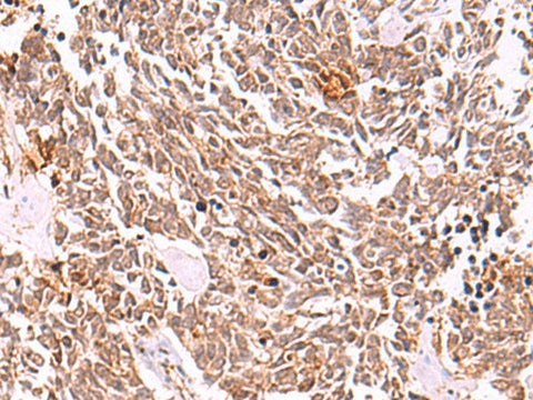
COPS3 Polyclonal Antibody Reactivity Human

SKU: E-AB-52946-200

  • $ 55995
  • Save $ 4000


Request a Quote

COPS3 Polyclonal Antibody Reactivity Human

 

SKU # E-AB-52946
Reactivity Human, Mouse, Rat
Host Rabbit
Applications IHC

 

Product Details

Isotype IgG
Host Rabbit
Reactivity Human, Mouse, Rat
Applications IHC
Clonality Polyclonal
Immunogen Fusion protein of human COPS3
Abbre COPS3
Synonyms COP 9 (constitutive photomorphogenic) subunit 3,  COP 9 complex S3,  COP 9 complex homolog subunit 3,  COP 9 complex subunit 3,  COP 9 constitutive photomorphogenic homolog subunit 3,  COP 9 homolog,  COP 9 signalosome ,  Constitutive photomorphogenic homolog subunit 3
Swissprot
Cellular Localization Cytoplasm. Nucleus.
Concentration 0.84 mg/mL
Buffer Phosphate buffered solution, pH 7.4, containing 0.05% stabilizer and 50% glycerol.
Purification Method Antigen affinity purification
Research Areas Cancer,  Cell Biology,  Neuroscience
Conjugation Unconjugated
Storage Store at -20°C Valid for 12 months. Avoid freeze / thaw cycles.
Shipping The product is shipped with ice pack, upon receipt, store it immediately at the temperature recommended.

 

Related Reagents

Applications Recommended Dilution
IHC 1:50-1:300

 

Background

The protein encoded by this gene possesses kinase activity that phosphorylates regulators involved in signal transduction. It phosphorylates I kappa-Balpha, p105, and c-Jun. It acts as a docking site for complex-mediated phosphorylation. The gene is located within the Smith-Magenis syndrome region on chromosome 17. Several transcript variants encoding different isoforms have been found for this gene.