Warehouse Overstock Promotion |  Save 10%  on Premium Lab Supplies |  Shop Now

Menu

This product has been added to the cart.

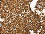
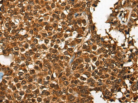
CDKL4 Polyclonal Antibody

SKU: E-AB-19685-200

  • $ 55995
  • Save $ 4000


Request a Quote

CDKL4 Polyclonal Antibody

 

SKU # E-AB-19685
Reactivity Human,  Mouse
Host Rabbit
Applications WB,  IHC

 

Product Details

Isotype IgG
Host Rabbit
Reactivity Human,  Mouse
Applications WB,  IHC
Clonality Polyclonal
Immunogen Synthetic peptide of human CDKL4
Abbre CDKL4
Synonyms CDKL4,  Cyclin dependent kinase like 4,  Cyclin-dependent kinase-like 4,  EC 2.7.11.22,  OTTHUMP00000164944
Swissprot
Calculated MW 43 kDa
Observed MW Refer to figures
Cellular Localization Cytoplasm.
Concentration 0.8 mg/mL
Buffer Phosphate buffered solution, pH 7.4, containing 0.05% stabilizer and 50% glycerol.
Purification Method Antigen affinity purification
Research Areas Cell Biology,  Signal Transduction
Conjugation Unconjugated
Storage Store at -20°C Valid for 12 months. Avoid freeze / thaw cycles.
Shipping The product is shipped with ice pack,upon receipt,store it immediately at the temperature recommended.

 

Related Reagents

Applications Recommended Dilution
WB 1:500-1:2000
IHC 1:30-1:150

 

Background   

Cell cycle progression is controlled in part by a family of cyclin proteins and cyclin dependent kinases (Cdks). Cdk proteins work in concert with the cyclins to phosphorylate key substrates involved in each phase of cell cycle progression. Another family of proteins, Cdk inhibitors, also plays a role in regulating the cell cycle by binding to cyclin-Cdk complexes and modulating their activity. Cdks are considered potential targets for anti-cancer therapy due to their involvement with cell cycle regulation. Cdks are also involved in the regulation of transcription and mRNA processing. CdkL4 (cyclin-dependent kinase-like 4) is a 315 amino acid protein that belongs to the CMGC Ser/Thr protein kinase family and may be involved in cell cycle regulation.