Warehouse Overstock Promotion |  Save 10%  on Premium Lab Supplies |  Shop Now

Menu

This product has been added to the cart.

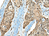
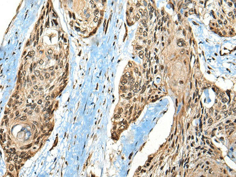
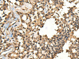
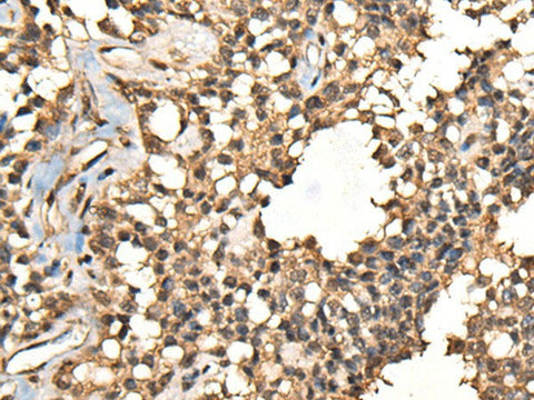
CASK Polyclonal Antibody Reactivity Human

SKU: E-AB-52518-200

  • $ 55995
  • Save $ 4000


Request a Quote

CASK Polyclonal Antibody Reactivity Human

 

SKU # E-AB-52518
Reactivity Human, Mouse, Rat
Host Rabbit
Applications IHC

 

Product Details

Isotype IgG
Host Rabbit
Reactivity Human, Mouse, Rat
Applications IHC
Clonality Polyclonal
Immunogen Fusion protein of human CASK
Abbre CASK
Synonyms CAGH39,  Caki,  Calcium/calmodulin dependent serine protein kinase ,  Calcium/calmodulin dependent serine protein kinase (MAGUK family),  Calcium/calmodulin dependent serine protein kinase membrane associated guanylate kinase,  Calcium/calmodulin-dependent serine p
Swissprot
Cellular Localization Nucleus. Cytoplasm. Cell membrane.
Concentration 0.9 mg/mL
Buffer Phosphate buffered solution, pH 7.4, containing 0.05% stabilizer and 50% glycerol.
Purification Method Antigen affinity purification
Research Areas Neuroscience,  Signal transduction
Conjugation Unconjugated
Storage Store at -20°C Valid for 12 months. Avoid freeze / thaw cycles.
Shipping The product is shipped with ice pack, upon receipt, store it immediately at the temperature recommended.

 

Related Reagents

Applications Recommended Dilution
IHC 1:50-1:300

 

Background

This gene encodes a calcium/calmodulin-dependent serine protein kinase. The encoded protein is a MAGUK (membrane-associated guanylate kinase) protein family member. These proteins are scaffold proteins and the encoded protein is located at synapses in the brain. Mutations in this gene are associated with FG syndrome 4, mental retardation and microcephaly with pontine and cerebellar hypoplasia, and a form of X-linked mental retardation. Multiple transcript variants encoding different isoforms have been found for this gene.