Warehouse Overstock Promotion |  Save 10%  on Premium Lab Supplies |  Shop Now

Menu

This product has been added to the cart.

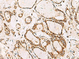
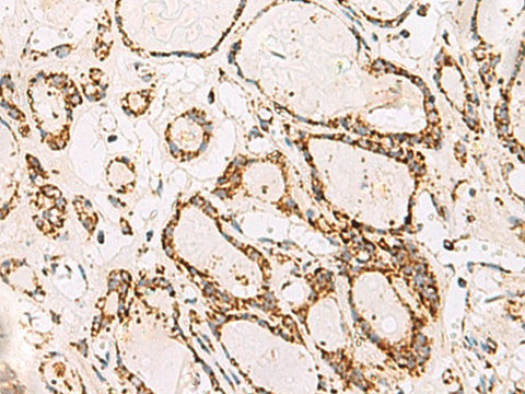
ATP5O Polyclonal Antibody Reactivity Human

SKU: E-AB-53090-200

  • $ 55995
  • Save $ 4000


Request a Quote

ATP5O Polyclonal Antibody Reactivity Human

 

SKU # E-AB-53090
Reactivity Human, Mouse
Host Rabbit
Applications WB, IHC

 

Product Details

Isotype IgG
Host Rabbit
Reactivity Human, Mouse
Applications WB, IHC
Clonality Polyclonal
Immunogen Fusion protein of human ATP5PO
Abbre ATP5O
Synonyms H+ transporting,   O subunit,   O subunit ,   mitochondrial F1 complex,  ATP synthase,  ATP synthase O subunit mitochondrial precursor,  ATP synthase subunit O,  ATP5O,  ATPO,  Mitochondrial ATP synthase,  OSCP,  Oligomycin sensitivity conferral protein,  mitochondrial
Swissprot
Calculated MW 23 kDa
Observed MW Refer to figures
Cellular Localization Mitochondrion. Mitochondrion inner membrane.
Concentration 1.56 mg/mL
Buffer Phosphate buffered solution, pH 7.4, containing 0.05% stabilizer and 50% glycerol.
Purification Method Antigen affinity purification
Research Areas Cancer,  Metabolism,  Signal transduction,  Tags & Cell Markers
Conjugation Unconjugated
Storage Store at -20°C Valid for 12 months. Avoid freeze / thaw cycles.
Shipping The product is shipped with ice pack, upon receipt, store it immediately at the temperature recommended.

 

Related Reagents

Applications Recommended Dilution
WB 1:1000-1:5000
IHC 1:100-1:300

 

Background

The protein encoded by this gene is a component of the F-type ATPase found in the mitochondrial matrix. F-type ATPases are composed of a catalytic core and a membrane proton channel. The encoded protein appears to be part of the connector linking these two components and may be involved in transmission of conformational changes or proton conductance.