Warehouse Overstock Promotion |  Save 10%  on Premium Lab Supplies |  Shop Now

Menu

This product has been added to the cart.

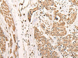
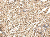
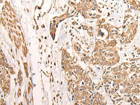
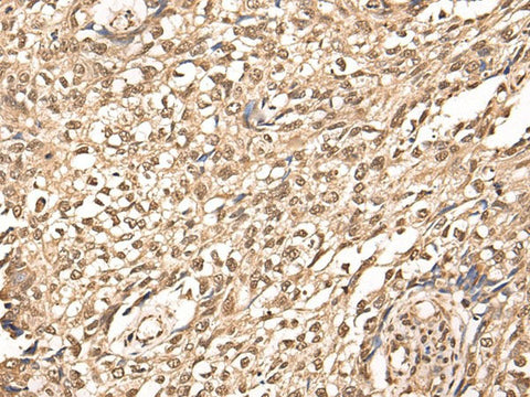
ATAD3A Polyclonal Antibody Reactivity Human

SKU: E-AB-52455-200

  • $ 55995
  • Save $ 4000


Request a Quote

ATAD3A Polyclonal Antibody Reactivity Human

 

SKU # E-AB-52455
Reactivity Human, Mouse, Rat
Host Rabbit
Applications WB, IHC

 

Product Details

Isotype IgG
Host Rabbit
Reactivity Human, Mouse, Rat
Applications WB, IHC
Clonality Polyclonal
Immunogen Fusion protein of human ATAD3A
Abbre ATAD3A
Synonyms AAA domain containing 3A,  AAA-ATPase TOB3,  ATPase family,  ATPase family AAA domain containing protein 3A,  ATPase family AAA domain-containing protein 3,  Atad3a,  FLJ10709,  FLJ35514,  Tob3
Swissprot
Calculated MW 71 kDa
Observed MW Refer to figures
Cellular Localization Mitochondrial
Concentration 0.4 mg/mL
Buffer Phosphate buffered solution, pH 7.4, containing 0.05% stabilizer and 50% glycerol.
Purification Method Antigen affinity purification
Research Areas Cancer,  Cell Biology
Conjugation Unconjugated
Storage Store at -20°C Valid for 12 months. Avoid freeze / thaw cycles.
Shipping The product is shipped with ice pack, upon receipt, store it immediately at the temperature recommended.

 

Related Reagents

Applications Recommended Dilution
WB 1:500-1:2000
IHC 1:25-1:100

 

Background

ATAD3A and ATAD3B (MIM 612317) are mitochondrial membrane proteins that contribute to the stabilization of large mitochondrial DNA (mtDNA)-protein complexes called nucleoids (He et al., 2007 [PubMed 17210950]).