Warehouse Overstock Promotion |  Save 10%  on Premium Lab Supplies |  Shop Now

Menu

This product has been added to the cart.

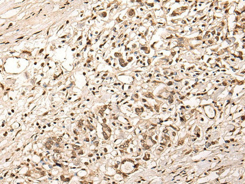
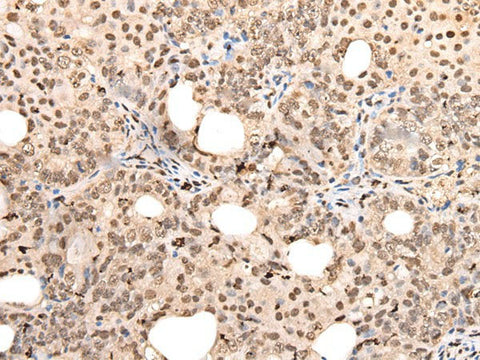
ZSCAN12 Polyclonal Antibody Reactivity Human

SKU: E-AB-52397-200

  • $ 55995


Request a Quote

ZSCAN12 Polyclonal Antibody Reactivity Human

 

SKU # E-AB-52397
Reactivity Human
Host Rabbit
Applications IHC

 

Product Details

Isotype IgG
Host Rabbit
Reactivity Human
Applications IHC
Clonality Polyclonal
Immunogen Fusion protein of human ZSCAN12
Abbre ZSCAN12
Synonyms DJ29K1.2,  KIAA0426,  OTTHUMP00000016205,  ZFP96,  ZNF29K1,  ZNF305,  ZNF96,  ZSCAN12,  Zinc finger and SCAN domain containing 12,  Zinc finger and SCAN domain containing protein 12,  Zinc finger protein 305 ,  Zinc finger protein 96
Swissprot
Cellular Localization Nucleus
Concentration 0.7 mg/mL
Buffer Phosphate buffered solution, pH 7.4, containing 0.05% stabilizer and 50% glycerol.
Purification Method Antigen affinity purification
Research Areas Epigenetics and Nuclear Signaling
Conjugation Unconjugated
Storage Store at -20°C Valid for 12 months. Avoid freeze / thaw cycles.
Shipping The product is shipped with ice pack,upon receipt,store it immediately at the temperature recommended.

 

Related Reagents

Applications Recommended Dilution
IHC 1:30-1:150

 

Background

May be involved in transcriptional regulation.