Warehouse Overstock Promotion |  Save 10%  on Premium Lab Supplies |  Shop Now

Menu

This product has been added to the cart.

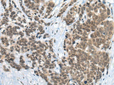
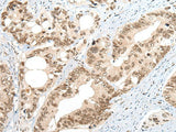
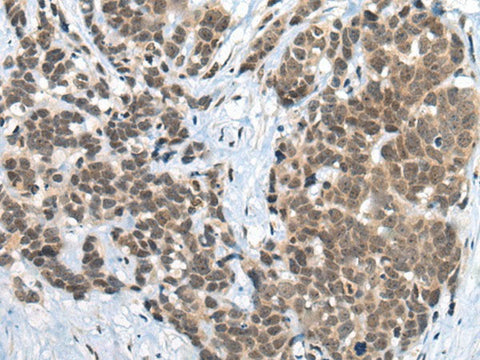
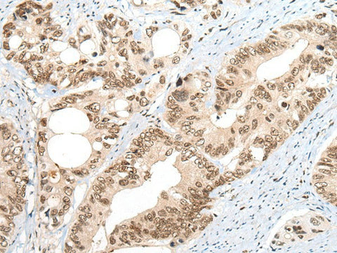
ZNF83 Polyclonal Antibody

SKU: E-AB-52396-200

  • $ 55995


Request a Quote

ZNF83 Polyclonal Antibody

 

SKU # E-AB-52396
Reactivity Human
Host Rabbit
Applications IHC

 

Product Details

Isotype IgG
Host Rabbit
Reactivity Human
Applications IHC
Clonality Polyclonal
Immunogen Fusion protein of human ZNF83
Abbre ZNF83
Synonyms FLJ11015,  FLJ14876,  FLJ30097 ,  FLJ90585 ,  HPF1,  MGC33853,  ZNF816B,  ZNF83,  Zinc finger protein 816B,  Zinc finger protein 83,  Zinc finger protein HPF1
Swissprot
Cellular Localization Nucleus.
Concentration 0.4 mg/mL
Buffer Phosphate buffered solution, pH 7.4, containing 0.05% stabilizer and 50% glycerol.
Purification Method Antigen affinity purification
Research Areas Epigenetics and Nuclear Signaling
Conjugation Unconjugated
Storage Store at -20°C Valid for 12 months. Avoid freeze / thaw cycles.
Shipping The product is shipped with ice pack,upon receipt,store it immediately at the temperature recommended.

 

Related Reagents

Applications Recommended Dilution
IHC 1:40-1:200

 

Background

May be involved in transcriptional regulation.