Warehouse Overstock Promotion |  Save 10%  on Premium Lab Supplies |  Shop Now

Menu

This product has been added to the cart.

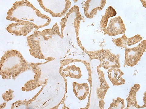
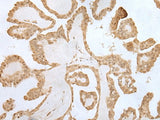
ZNF281 Polyclonal Antibody Reactivity Mouse

SKU: E-AB-52368-200

  • $ 55995


Request a Quote

ZNF281 Polyclonal Antibody Reactivity Mouse

 

SKU # E-AB-52368
Reactivity Human, Mouse
Host Rabbit
Applications WB, IHC

 

Product Details

Isotype IgG
Host Rabbit
Reactivity Human, Mouse
Applications WB, IHC
Clonality Polyclonal
Immunogen Fusion protein of human ZNF281
Abbre ZNF281
Synonyms GC box binding zinc finger protein 1,  GC-box-binding zinc finger protein 1,  GZP1,  Transcription factor ZBP-99,  ZBP 99,  ZBP99,  ZN281,  ZNF281,  ZNP 99,  ZNP 99 transcr,  Zinc finger DNA binding protein 99,  Zinc finger DNA-binding protein 99,  Zinc finger protein 281,  zfp281
Swissprot
Calculated MW 97 kDa
Observed MW Refer to figures
Cellular Localization Nucleus.
Concentration 1.2 mg/mL
Buffer Phosphate buffered solution, pH 7.4, containing 0.05% stabilizer and 50% glycerol.
Purification Method Antigen affinity purification
Research Areas Cancer,  Epigenetics and Nuclear Signaling,  Developmental Biology,  Stem Cells
Conjugation Unconjugated
Storage Store at -20°C Valid for 12 months. Avoid freeze / thaw cycles.
Shipping The product is shipped with ice pack,upon receipt,store it immediately at the temperature recommended.

 

Related Reagents

Applications Recommended Dilution
WB 1:500-1:2000
IHC  1:60-1:450

 

Background

ZNF281, also known as GC-box-binding zinc finger protein 1, ZBP-99 or ZNP-99 (zinc finger DNA-binding protein 99), is a zinc finger protein that belongs to the Krüppel C2H2-type zinc finger protein family. It is expressed ubiquitously at low levels with predominant expression in kidney, liver, lymphocytes and placenta. ZNF281 localizes to the nucleus and contains four C2H2-type zinc fingers. ZNF281 plays a role in repressing the transcription of a variety of genes including Gastrin and ODC (ornithine decarboxylase). In particular, ZNF281 functions by binding to the G-rich box in the enhancer region of the gene. Upon DNA damage, ZNF281 may become phosphorylated by Atm or ATR.