Warehouse Overstock Promotion |  Save 10%  on Premium Lab Supplies |  Shop Now

Menu

This product has been added to the cart.

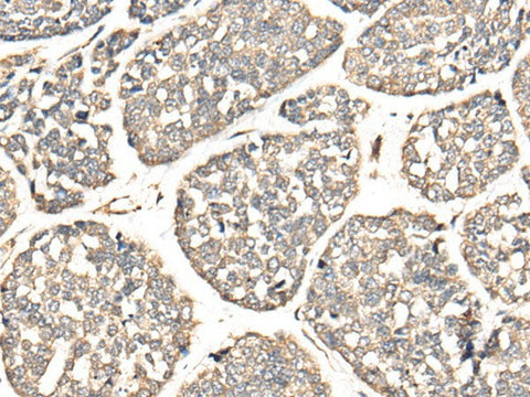
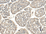
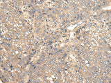
VTI1B Polyclonal Antibody Reactivity Human

SKU: E-AB-52425-200

  • $ 55995


Request a Quote

VTI1B Polyclonal Antibody Reactivity Human

 

SKU # E-AB-52425
Reactivity Human, Mouse, Rat
Host Rabbit
Applications WB, IHC

 

Product Details

Isotype IgG
Host Rabbit
Reactivity Human, Mouse, Rat
Applications WB, IHC
Clonality Polyclonal
Immunogen Full length fusion protein
Abbre VTI1B
Synonyms HGNC:17793,  V SNARE,  Vesicle associated soluble NSF attachment protein receptor,  Vesicle transport through interaction with ,  Vesicle transport through interaction with t SNAREs 1B,  Vesicle transport through interaction with t SNAREs homolog 1B (yeast),  v-SNARE
Swissprot
Calculated MW 27 kDa
Observed MW Refer to figures
Cellular Localization Endomembrane system. Cytoplasmic granule.
Concentration 0.4 mg/mL
Buffer Phosphate buffered solution, pH 7.4, containing 0.05% stabilizer and 50% glycerol.
Purification Method Antigen affinity purification
Research Areas Cancer,  Signal Transduction
Conjugation Unconjugated
Storage Store at -20°C Valid for 12 months. Avoid freeze / thaw cycles.
Shipping The product is shipped with ice pack, upon receipt, store it immediately at the temperature recommended.

 

Related Reagents

Applications Recommended Dilution
WB 1:500-1:2000
IHC 1:25-1:100

 

Background

VTI1B (Vesicle Transport Through Interaction With T-SNAREs 1B) is a Protein Coding gene. Diseases associated with VTI1B include Hypomyelinating Leukodystrophy. Among its related pathways are wtCFTR and deltaF508 traffic / Late endosome and Lysosome (norm and CF) and Response to elevated platelet cytosolic Ca2+.Gene Ontology (GO) annotations related to this gene include SNARE binding and chloride channel inhibitor activity. An important paralog of this gene is VTI1A.