Warehouse Overstock Promotion |  Save 10%  on Premium Lab Supplies |  Shop Now

Menu

This product has been added to the cart.

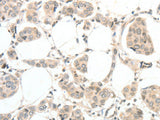
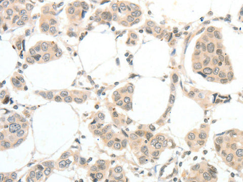
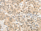
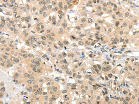
TSPYL2 Polyclonal Antibody Store at -20°C

SKU: E-AB-13151-200

  • $ 55995


Request a Quote

TSPYL2 Polyclonal Antibody Store at -20°C

 

SKU # E-AB-13151
Reactivity Human
Host Rabbit
Applications IHC

 

Product Details

Isotype IgG
Host Rabbit
Reactivity Human
Applications IHC
Clonality Polyclonal
Immunogen Synthetic peptide of human TSPYL2
Abbre TSPYL2
Synonyms CASK interacting nucleosome assembly protein,  CDA1,  CINAP,  CTCL,  CTCL tumor antigen se20 4,  CTCL-associated antigen se20-4,  Cell division autoantigen 1,  Cutaneous T cell lymphoma associated antigen se20 4,  Cutaneous T cell lymphoma associated tumor antigen se20 4
Swissprot
Cellular Localization Nucleus. Cytoplasm. Enriched in transcriptionally active regions of chromatin in neurons.
Concentration 0.3 mg/mL
Buffer Phosphate buffered solution, pH 7.4, containing 0.05% stabilizer and 50% glycerol.
Purification Method Affinity purification
Research Areas Cardiovascular, Immunology
Conjugation Unconjugated
Storage Store at -20°C Valid for 12 months. Avoid freeze / thaw cycles.
Shipping The product is shipped with ice pack, upon receipt, store it immediately at the temperature recommended.

 

Related Reagents

Applications Recommended Dilution
IHC 1:50-1:200

 

Background

This gene encodes a member of the testis-specific protein Y-encoded, TSPY-like/SET/nucleosome assembly protein-1 superfamily. The encoded protein is localized to the nucleolus where it functions in chromatin remodeling and as an inhibitor of cell-cycle progression. This protein may play a role in the suppression of tumor growth.