Warehouse Overstock Promotion |  Save 10%  on Premium Lab Supplies |  Shop Now

Menu

This product has been added to the cart.

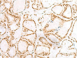
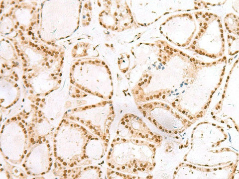
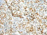
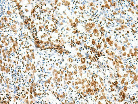
TCOF1 Polyclonal Antibody Reactivity Human

SKU: E-AB-52784-200

  • $ 55995


Request a Quote

TCOF1 Polyclonal Antibody Reactivity Human

 

SKU # E-AB-52784
Reactivity Human
Host Rabbit
Applications IHC

 

Product Details

Isotype IgG
Host Rabbit
Reactivity Human
Applications IHC
Clonality Polyclonal
Immunogen Fusion protein of human TCOF1
Abbre TCOF1
Synonyms MFD1,  Mandibulofacial dysostosis,  Nucleolar trafficking phosphoprotein,  TCOF,  TCOF 1,  TCOF1,  TCS,  TCS1,  Treacher Collins Franceschetti syndrome 1,  Treacher Collins syndrome,  Treacher Collins syndrome protein,  Treacle,  Treacle protein
Swissprot
Cellular Localization Nucleus>nucleolus.
Concentration 0.9 mg/mL
Buffer Phosphate buffered solution, pH 7.4, containing 0.05% stabilizer and 50% glycerol.
Purification Method Antigen affinity purification
Research Areas Cancer,  Signal transduction
Conjugation Unconjugated
Storage Store at -20°C Valid for 12 months. Avoid freeze / thaw cycles.
Shipping The product is shipped with ice pack, upon receipt, store it immediately at the temperature recommended.

 

Related Reagents

Applications Recommended Dilution
IHC  1:40-1:200

 

Background

This gene encodes a nucleolar protein with a LIS1 homology domain. The protein is involved in ribosomal DNA gene transcription through its interaction with upstream binding factor (UBF). Mutations in this gene have been associated with Treacher Collins syndrome, a disorder which includes abnormal craniofacial development. Multiple transcript variants encoding different isoforms have been found for this gene.