Warehouse Overstock Promotion |  Save 10%  on Premium Lab Supplies |  Shop Now

Menu

This product has been added to the cart.

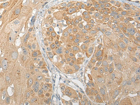
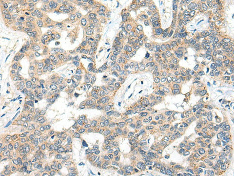
SNX6 Polyclonal Antibody

SKU: E-AB-19763-200

  • $ 55995


Request a Quote

SNX6 Polyclonal Antibody

 

SKU # E-AB-19763
Reactivity Human,  Mouse
Host Rabbit
Applications IHC

 

Product Details

Isotype IgG
Host Rabbit
Reactivity Human,  Mouse
Applications IHC
Clonality Polyclonal
Immunogen Synthetic peptide of human SNX6
Abbre SNX6
Synonyms MSTP010,  Sorting Nexin 6,  TFAF2,  Tumor Necrosis Factor Receptor-Associated Factor 4(TRAF4)-Associated Factor 2
Swissprot
Cellular Localization Cytoplasm, Cytoplasmic vesicle, Endosome, Membrane, Nucleus.
Concentration 1.9 mg/mL
Buffer Phosphate buffered solution, pH 7.4, containing 0.05% stabilizer and 50% glycerol.
Purification Method Antigen affinity purification
Research Areas Signal Transduction,  Stem Cells,  Developmental Biology
Conjugation Unconjugated
Storage Store at -20°C Valid for 12 months. Avoid freeze / thaw cycles.
Shipping The product is shipped with ice pack,upon receipt,store it immediately at the temperature recommended.

 

Related Reagents

Applications Recommended Dilution
IHC 1:50-1:300

 

Background   

This gene encodes a member of the sorting nexin family. Members of this family contain a phox (PX) domain, which is a phosphoinositide binding domain, and are involved in intracellular trafficking. This protein associates with the long isoform of the leptin receptor, the transforming growth factor-beta family of receptor serine-threonine kinases, and with receptor tyrosine kinases for platelet-derived growth factor, insulin, and epidermal growth factor. This protein may form oligomeric complexes with family member proteins through interactions of both the PX domain and the coiled coil regions of the molecules. Translocation of this protein from the cytoplasm to the nucleus occurs after binding to proviral integration site 1 protein. This gene results in two transcripts encoding two distinct isoforms.