Warehouse Overstock Promotion |  Save 10%  on Premium Lab Supplies |  Shop Now

Menu

This product has been added to the cart.

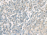
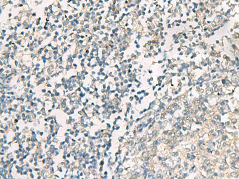
SERPINB4 Polyclonal Antibody Reactivity Human

SKU: E-AB-52213-200

  • $ 55995


Request a Quote

SERPINB4 Polyclonal Antibody Reactivity Human

 

SKU # E-AB-52213
Reactivity Human
Host Rabbit
Applications IHC

 

Product Details

Isotype IgG
Host Rabbit
Reactivity Human
Applications IHC
Clonality Polyclonal
Immunogen Fusion protein of human SERPINB4
Abbre SERPINB4
Synonyms Leupin,  PI 11,  PI-11,  PI11,  Peptidase inhibitor 11,  Protease inhibitor (leucine serpin),  SCCA 2,  SCCA-2,  SCCA1,  SCCA2,  SCCA2/SCCA1 fusion protein,  Serine (or cysteine) proteinase inhibitor,  Serpin B4,  Serpin peptidase inhibitor,  clade B (ov,  clade B (ovalbumin),  member 4
Swissprot
Cellular Localization Cytoplasm. Seems to also be secreted in plasma by cancerous cells but at a low level.
Concentration 0.72 mg/mL
Buffer Phosphate buffered solution, pH 7.4, containing 0.05% stabilizer and 50% glycerol.
Purification Method Antigen affinity purification
Research Areas Cancer,  Cell Biology,  Immunology
Conjugation Unconjugated
Storage Store at -20°C Valid for 12 months. Avoid freeze / thaw cycles.
Shipping The product is shipped with ice pack, upon receipt, store it immediately at the temperature recommended.

 

Related Reagents

Applications Recommended Dilution
IHC 1:50-1:100

 

Background

The protein encoded by this gene is a member of the serpin family of serine protease inhibitors. The encoded protein is highly expressed in many tumor cells and can inactivate granzyme M, an enzyme that kills tumor cells. This protein, along with serpin B3, can be processed into smaller fragments that aggregate to form an autoantigen in psoriasis, probably by causing chronic inflammation. SERPINB4 (Serpin Family B Member 4) is a Protein Coding gene. Diseases associated with SERPINB4 include Squamous Cell Carcinoma and Chromosome 18Q Deletion Syndrome. Among its related pathways are Amoebiasis. GO annotations related to this gene include enzyme binding and protease binding. An important paralog of this gene is SERPINB3.