Warehouse Overstock Promotion |  Save 10%  on Premium Lab Supplies |  Shop Now

Menu

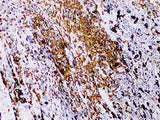
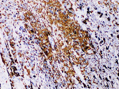
S100P Monoclonal Antibody Stored at 2~8°C

SKU: PA6593-1.5

To better serve you, we would like to discuss your specific requirement.
Please Contact Us for a quote.


-Request a Quote

S100P Monoclonal Antibody Stored at 2~8°C

 

Product Details

Host Mouse
Reactivity Human
Applications IHC-P
Synonyms S100P
Cellular Localization nucleus/Cytoplasm
Tissue Specificity Melanoma
Storage The RTU should be stored at 2~8°C protecting from light (Do not freeze),Valid for 12 months.
Shipping Ice bag

 

Background

S100P is a member of S100 protein family. Its abnormal expression in tumor plays an important role in tumor growth, proliferation, invasion and metastasis through various signaling pathways. It is highly expressed in placenta and pancreatic ductal adenocarcinoma, but not in benign ductal and acinar glands. S100P is reported to be expressed in all infiltrating components of intraductal papillary mucinous tumors, including nerves, lymph nodes, and microinfiltrates. S100P is strongly positive in 90% of primary cancer bile duct biopsies, but negative in benign biopsies. Therefore, S100P can help us distinguish cancer from reactive epithelial changes in bile duct biopsies. At the same time, S100P is one of the specific markers of urothelial carcinoma.

Share Share