Warehouse Overstock Promotion |  Save 10%  on Premium Lab Supplies |  Shop Now

Menu

This product has been added to the cart.

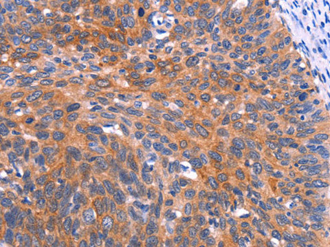
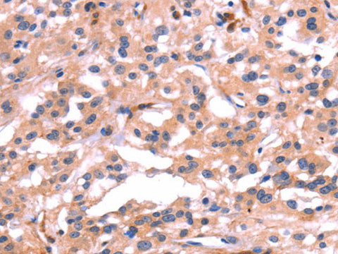
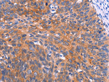
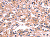
PTPN13 Polyclonal Antibody

SKU: E-AB-13236-200

  • $ 55995


Request a Quote

PTPN13 Polyclonal Antibody

 

SKU # E-AB-13236
Reactivity Human
Host Rabbit
Applications IHC

 

Product Details

Isotype IgG
Host Rabbit
Reactivity Human
Applications IHC
Clonality Polyclonal
Immunogen Synthetic peptide of human PTPN13
Abbre PTPN13
Synonyms APO1/CD95 (Fas) associated phosphatase,  DKFZp686J1497,  FAP 1,  FAP1,  Fas associated phosphatase 1,  Fas associated protein tyrosine phosphatase 1,  HGNC:9646,  PNP 1,  PNP1,  Phosphatase rip,  Protein tyrosine phosphatase 1 Fas associated,  hPTPE1,  protein tyrosine phosphata
Swissprot
Cellular Localization Cytoplasmic
Concentration 0.5 mg/mL
Buffer Phosphate buffered solution, pH 7.4, containing 0.05% stabilizer and 50% glycerol.
Purification Method Affinity purification
Research Areas Cancer,  Cell Biology,  Signal Transduction
Conjugation Unconjugated
Storage Store at -20°C Valid for 12 months. Avoid freeze / thaw cycles.
Shipping The product is shipped with ice pack, upon receipt, store it immediately at the temperature recommended.

 

Related Reagents

Applications Recommended Dilution
IHC 1:25-1:100

 

Background

The protein encoded by this gene is a member of the protein tyrosine phosphatase (PTP) family. PTPs are signaling molecules that regulate a variety of cellular processes including cell growth, differentiation, mitotic cycle, and oncogenic transformation. This PTP is a large intracellular protein. It has a catalytic PTP domain at its C-terminus and two major structural domains: a region with five PDZ domains and a FERM domain that binds to plasma membrane and cytoskeletal elements. This PTP was found to interact with, and dephosphorylate, Fas receptor and IkappaBalpha through the PDZ domains. This suggests it has a role in Fas mediated programmed cell death. This PTP was also shown to interact with GTPase-activating protein, and thus may function as a regulator of Rho signaling pathways. Four alternatively spliced transcript variants, which encode distinct proteins, have been reported.