Warehouse Overstock Promotion |  Save 10%  on Premium Lab Supplies |  Shop Now

Menu

This product has been added to the cart.

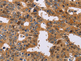
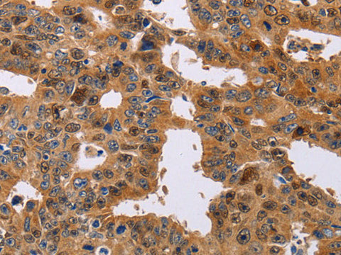
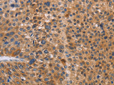
NIF3L1 Polyclonal Antibody Store at -20°C

SKU: E-AB-10783-200

  • $ 33995


Request a Quote

NIF3L1 Polyclonal Antibody Store at -20°C

 

SKU # E-AB-10783
Reactivity Human, Mouse, Rat
Host Rabbit
Applications IHC

 

Product Details

Isotype IgG
Host Rabbit
Reactivity Human,  Mouse,  Rat
Applications IHC
Clonality Polyclonal
Immunogen Recombinant protein of human NIF3L1
Abbre NIF3L1
Synonyms ALS2CR1,  Amyotrophic lateral sclerosis 2 (juvenile) chromosome region,  Amyotrophic lateral sclerosis 2 chromosomal region candidate gene 1 protein,  CALS-7,  MDS015,  NIF3 (Ngg1 interacting factor 3,  Ngg1 interacting factor 3-like 1,  S.pombe homolog)-li,  candidate 1
Swissprot
Cellular Localization Cytoplasm.
Concentration 0.2 mg/mL
Buffer Phosphate buffered solution, pH 7.4, containing 0.05% stabilizer and 50% glycerol.
Purification Method Affinity purification
Research Areas Neuroscience
Conjugation Unconjugated
Storage Store at -20°C Valid for 12 months. Avoid freeze / thaw cycles.
Shipping The product is shipped with ice pack,upon receipt,store it immediately at the temperature recommended.

 

Related Reagents

Applications Recommended Dilution
IHC 1:50-1:200

 

Background

NIF3-like protein 1 is a protein that in humans is encoded by the NIF3L1 gene.NIF3L1 has been shown to interact with COPS2.Expression analysis on cell lines revealed strong overexpression in a spermatogonia-derived cell line and a teratocarcinoma cell line.A human NIF3L1/GFP fusion protein showed localization of the protein in the cytoplasm.