Warehouse Overstock Promotion |  Save 10%  on Premium Lab Supplies |  Shop Now

Menu

This product has been added to the cart.

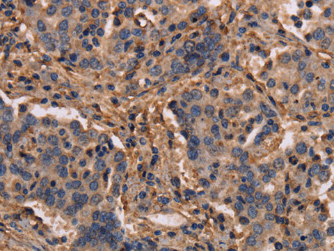
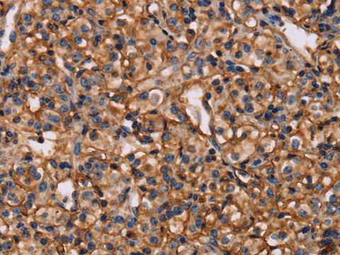
MAP1LC3C Polyclonal Antibody

SKU: E-AB-13378-200

  • $ 55995


Request a Quote

MAP1LC3C Polyclonal Antibody

 

SKU # E-AB-13378
Reactivity Human
Host Rabbit
Applications IHC

 

Product Details

Isotype IgG
Host Rabbit
Reactivity Human
Applications IHC
Clonality Polyclonal
Immunogen Synthetic peptide of human MAP1LC3C
Abbre MAP1LC3C
Synonyms ATG8J,  Autophagy-related protein LC3 C,  Autophagy-related ubiquitin-like modifier LC3 C,  LC3 like protein 2,  MA,  MAP1 light chain 3 like protein 2,  MAP1 light chain 3 like protein 3,  MAP1 light chain 3-like protein 3,  MAP1A/MAP1B LC3 C,  MAP1A/MAP1B light chain 3 C
Swissprot
Cellular Localization Cytoplasm>cytoskeleton. Endomembrane system. Cytoplasmic vesicle>autophagosome membrane. LC3-II binds to the autophagic membranes.
Concentration 0.8 mg/mL
Buffer Phosphate buffered solution, pH 7.4, containing 0.05% stabilizer and 50% glycerol.
Purification Method Affinity purification
Research Areas Cancer,  Cardiovascular,  Metabolism,  Signal Transduction
Conjugation Unconjugated
Storage Store at -20°C Valid for 12 months. Avoid freeze / thaw cycles.
Shipping The product is shipped with ice pack, upon receipt, store it immediately at the temperature recommended.

 

Related Reagents

Applications Recommended Dilution
IHC 1:50-1:200

 

Background

Autophagy is a highly regulated bulk degradation process that plays an important role in cellular maintenance and development. MAP1LC3C is an ortholog of the yeast autophagosome protein Atg8. Ubiquitin-like modifier that plays a crucial role in antibacterial autophagy (xenophagy) through the selective binding of CALCOCO2. Recruites all ATG8 family members to infecting bacteria such as S.Typhimurium.