Warehouse Overstock Promotion |  Save 10%  on Premium Lab Supplies |  Shop Now

Menu

This product has been added to the cart.

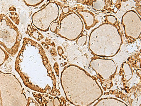
LYRM1 Polyclonal Antibody Reactivity Human

SKU: E-AB-52800-200

  • $ 55995


Request a Quote

LYRM1 Polyclonal Antibody Reactivity Human

 

SKU # E-AB-52800
Reactivity Human, Mouse, Rat
Host Rabbit
Applications IHC

 

Product Details

Isotype IgG
Host Rabbit
Reactivity Human, Mouse, Rat
Applications IHC
Clonality Polyclonal
Immunogen Fusion protein of human LYRM1
Abbre LYRM1
Synonyms 1110065L10Rik,  2310004B22Rik,  4930404J24Rik,  A211C6.1,  LYR motif containing 1,  LYR motif containing protein 1,  LYR motif-containing protein 1,  LYRM 1,  LYRM1,  OTTHUMP00000162292,  OTTMUSP00000031126,  OTTMUSP00000031127,  OTTMUSP00000031128,  OTTMUSP00000031129,  RGD15,  lyrm1
Swissprot
Cellular Localization Nucleus.
Concentration 0.72 mg/mL
Buffer Phosphate buffered solution, pH 7.4, containing 0.05% stabilizer and 50% glycerol.
Purification Method Antigen affinity purification
Conjugation Unconjugated
Storage Store at -20°C Valid for 12 months. Avoid freeze / thaw cycles.
Shipping The product is shipped with ice pack, upon receipt, store it immediately at the temperature recommended.

 

Related Reagents

Applications Recommended Dilution
IHC 1:40-1:200

 

Background

The protein encoded by this gene belongs to the mitochondrial leucine/tyrosine/arginine motif family of proteins. Proteins of this family are short polypeptides that contain a leucine/tyrosine/arginine motif near the N-terminus. This gene is widely expressed with high levels in omental adipose tissue of obese individuals. In adipose tissue, the protein is localized to the nucleus where it promotes preadipocyte proliferation and lowers the rate of apoptosis to regulate adipose tissue homeostasis. Overexpression of this gene in adipocytes causes abnormal mitochondrial morphology and mitochondrial dysfunction. Alternative splicing results in multiple transcript variants.