Warehouse Overstock Promotion |  Save 10%  on Premium Lab Supplies |  Shop Now

Menu

This product has been added to the cart.

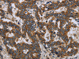
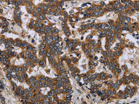
LGALS2 Polyclonal Antibody Store at -20°C

SKU: E-AB-14095-200

  • $ 33995


Request a Quote

LGALS2 Polyclonal Antibody Store at -20°C

 

SKU # E-AB-14095
Reactivity Human,  Mouse
Host Rabbit
Applications IHC

 

Product Details

Isotype IgG
Host Rabbit
Reactivity Human,  Mouse
Applications IHC
Clonality Polyclonal
Immunogen Recombinant protein of human LGALS2
Abbre LGALS2
Synonyms Beta galactoside binding lectin L14 II,  Beta-galactoside-binding lectin L-14-II,  CBP35,  GAL3,  GALBP,  GALIG,  Gal-2,  Galectin 2,  Galectin-2,  HL14,  LEG2,  LGALS2,  Lactose binding lectin 2,  Lactose-binding lectin 2,  MAC2,  S Lac lectin 2,  S-Lac lectin 2
Swissprot
Concentration 0.5 mg/mL
Buffer Phosphate buffered solution, pH 7.4, containing 0.05% stabilizer and 50% glycerol.
Purification Method Affinity purification
Research Areas Cell Biology
Conjugation Unconjugated
Storage Store at -20°C Valid for 12 months. Avoid freeze / thaw cycles.
Shipping The product is shipped with ice pack,upon receipt,store it immediately at the temperature recommended.

 

Related Reagents

Applications Recommended Dilution
IHC 1:50-1:200

 

Background

The protein encoded by this gene is a soluble beta-galactoside binding lectin. The encoded protein is found as a homodimer and can bind to lymphotoxin-alpha. A single nucleotide polymorphism in an intron of this gene can alter the transcriptional level of the protein, with a resultant increased risk of myocardial infarction. This protein binds beta-galactoside. Its physiological function is not yet known.