Warehouse Overstock Promotion |  Save 10%  on Premium Lab Supplies |  Shop Now

Menu

This product has been added to the cart.

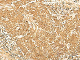
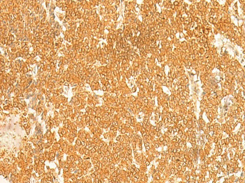
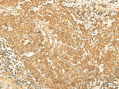
KRT76 Polyclonal Antibody

SKU: E-AB-19994-200

  • $ 55995


Request a Quote

KRT76 Polyclonal Antibody

 

SKU # E-AB-19994
Reactivity Human,  Mouse
Host Rabbit
Applications IHC

 

Product Details

Isotype IgG
Host Rabbit
Reactivity Human,  Mouse
Applications IHC
Clonality Polyclonal
Immunogen Synthetic peptide of human KRT76
Abbre KRT76
Synonyms type II,  CK 2P,  CK-2P,  CK2P,  Cytokeratin 2P,  Cytokeratin-2P,  Cytokeratin2,  Cytokeratin2P,  HUMCYT 2A,  HUMCYT2A,  K,  K22O,  K2P,  K76,  KB9,  KRT 2B,  KRT 2P,  KRT 76,  KRT2B,  Keratin,  Keratin 2p,  Keratin 76,  Keratin type II cytoskeletal 2 oral,  Keratin-76,  Keratin2p,  Keratin76
Swissprot
Concentration 0.9 mg/mL
Buffer Phosphate buffered solution, pH 7.4, containing 0.05% stabilizer and 50% glycerol.
Purification Method Antigen affinity purification
Research Areas Cancer,  Signal transduction,  Tags and Cell markers
Conjugation Unconjugated
Storage Store at -20°C Valid for 12 months. Avoid freeze / thaw cycles.
Shipping The product is shipped with ice pack,upon receipt,store it immediately at the temperature recommended.

 

Related Reagents

Applications Recommended Dilution
IHC 1:40-1:200

 

Background   

Keratins are intermediate filament proteins responsible for the structural integrity of epithelial cells and are subdivided into epithelial keratins and hair keratins. The type II keratins are clustered in a region of chromosome 12q13.