Warehouse Overstock Promotion |  Save 10%  on Premium Lab Supplies |  Shop Now

Menu

This product has been added to the cart.

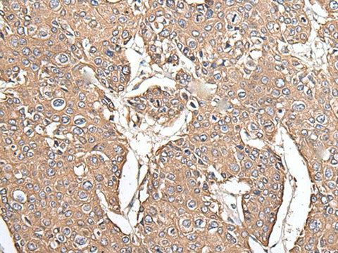
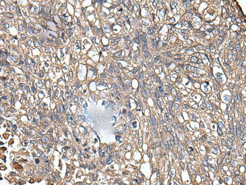
KRT73 Polyclonal Antibody

SKU: E-AB-52251-200

  • $ 55995


Request a Quote

KRT73 Polyclonal Antibody

 

SKU # E-AB-52251
Reactivity Human, Mouse, Rat
Host Rabbit
Applications IHC

 

Product Details

Isotype IgG
Host Rabbit
Reactivity Human, Mouse, Rat
Applications IHC
Clonality Polyclonal
Immunogen Full length fusion protein
Abbre KRT73
Synonyms type II cytoskeletal 73,  CK-73,  Cytokeratin-73,  IRT6IRS3,  K2C73,  K6IRS3,  K73,  KRT6IRS3,  Keratin,  Keratin 6 irs3,  Keratin-73,  Krt73,  Type II inner root sheath-specific keratin-K6irs3,  Type-II keratin Kb36
Swissprot
Concentration 0.9 mg/mL
Buffer Phosphate buffered solution, pH 7.4, containing 0.05% stabilizer and 50% glycerol.
Purification Method Antigen affinity purification
Conjugation Unconjugated
Storage Store at -20°C Valid for 12 months. Avoid freeze / thaw cycles.
Shipping The product is shipped with ice pack,upon receipt,store it immediately at the temperature recommended.
Research Areas Epigenetics and Nuclear Signaling
Conjugation Unconjugated
Storage Store at -20°C Valid for 12 months. Avoid freeze / thaw cycles.
Shipping The product is shipped with ice pack, upon receipt, store it immediately at the temperature recommended.

 

Related Reagents

Applications Recommended Dilution
IHC 1:40-1:200

 

Background

Keratins are intermediate filament proteins responsible for the structural integrity of epithelial cells and are subdivided into epithelial keratins and hair keratins. This gene encodes a protein that is expressed in the inner root sheath of hair follicles. The type II keratins are clustered in a region of chromosome 12q13.