Warehouse Overstock Promotion |  Save 10%  on Premium Lab Supplies |  Shop Now

Menu

This product has been added to the cart.

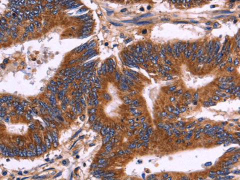
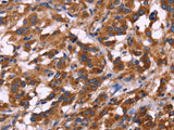
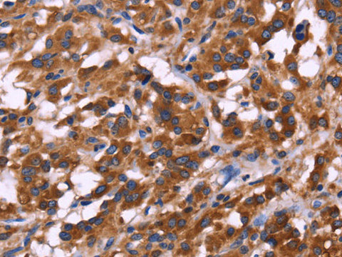
KIR2DL1/3/4/S4 Polyclonal Antibody Store at -20°C

SKU: E-AB-11044-200

  • $ 33995


Request a Quote

KIR2DL1/3/4/S4 Polyclonal Antibody Store at -20°C

 

SKU # E-AB-11044
Reactivity Human
Host Rabbit
Applications IHC

 

Product Details

Isotype IgG
Host Rabbit
Reactivity Human
Applications IHC
Clonality Polyclonal
Immunogen Recombinant protein of human KIR2DL3/1/4/S4
Abbre KIR2DL1/3/4/S4
Synonyms CD158A,  CD158B2,  CD158D,  CD158I,  CD158b,  GL183,  KIR-023GB/NKAT,  KIR-K64/ G9P,  KIR-K7b,  KIR-K7c,  KIR103,  KIR103AS/ KKA3,  KIR1D,  KIR221,  KIR412,  KIRCL23,  NKAT,  NKAT1,  NKAT2,  NKAT2A,  NKAT2B,  NKAT8,  p58,  p58.1
Swissprot
Cellular Localization Plasma Membrane, integral component of Plasma Membrane, Other locations: integral component of membrane.
Concentration 0.3 mg/mL
Buffer Phosphate buffered solution, pH 7.4, containing 0.05% stabilizer and 50% glycerol.
Purification Method Affinity purification
Research Areas Immunology
Conjugation Unconjugated
Storage Store at -20°C Valid for 12 months. Avoid freeze / thaw cycles.
Shipping The product is shipped with ice pack,upon receipt,store it immediately at the temperature recommended.

 

Related Reagents

Applications Recommended Dilution
IHC 1:50-1:100

 

Background

Killer cell immunoglobulin-like receptors (KIRs) are transmembrane glycoproteins expressed by natural killer cells and subsets of T cells. The KIR genes are polymorphic and highly homologous and they are found in a cluster on chromosome 19q13.4 within the 1 Mb leukocyte receptor complex (LRC). The gene content of the KIR gene cluster varies among haplotypes, although several "framework" genes are found in all haplotypes (KIR3DL3, KIR3DP1, KIR3DL4, KIR3DL2). The KIR proteins are classified by the number of extracellular immunoglobulin domains (2D or 3D) and by whether they have a long (L) or short (S) cytoplasmic domain.