Warehouse Overstock Promotion |  Save 10%  on Premium Lab Supplies |  Shop Now

Menu

This product has been added to the cart.

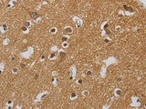
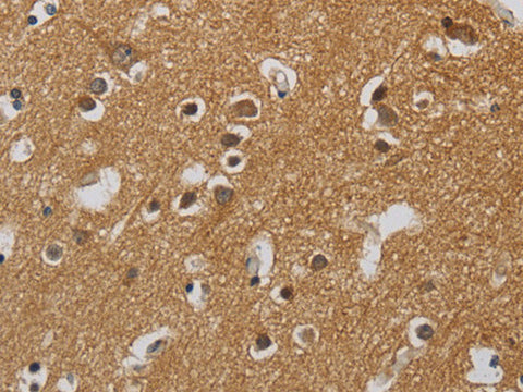
KIF4A Polyclonal Antibody Store at -20°C

SKU: E-AB-13364-200

  • $ 55995


Request a Quote

KIF4A Polyclonal Antibody Store at -20°C

 

SKU # E-AB-13364
Reactivity Human, Mouse
Host Rabbit
Applications IHC

 

Product Details

Isotype IgG
Host Rabbit
Reactivity Human, Mouse
Applications IHC
Clonality Polyclonal
Immunogen Synthetic peptide of human KIF4A
Abbre KIF4A
Synonyms Chromokinesin,  Chromokinesin-A,  Chromosome associated kinesin KIF4A,  Chromosome-associated kinesin KIF4A,  FLJ12530,  FLJ12655,  FLJ14204,  FLJ20631,  HSA271784,  KIF4,  KIF4 G1,  KIF4A,  KIF4G1,  Kinesin family member 4A
Swissprot
Cellular Localization Nucleus matrix. Cytoplasm>cytoskeleton>spindle. Midbody. Chromosome. Not present in the nucleolus. In early mitosis, associated with the mitotic spindle, in anaphase, localized to the spindle midzone and, in telophase and cytokinesis, to the midbody. In late cytokinesis, found in the center of the midbody. Associated with chromosomes at all stages of mitosis.
Concentration 0.7 mg/mL
Buffer Phosphate buffered solution, pH 7.4, containing 0.05% stabilizer and 50% glycerol.
Purification Method Affinity purification
Research Areas Cancer,  Cell Biology,  Epigenetics and Nuclear Signaling,  Signal Transduction
Conjugation Unconjugated
Storage Store at -20°C Valid for 12 months. Avoid freeze / thaw cycles.
Shipping The product is shipped with ice pack, upon receipt, store it immediately at the temperature recommended.

 

Related Reagents

Applications Recommended Dilution
IHC 1:50-1:200

 

Background

This gene encodes a member of the kinesin 4 subfamily of kinesin related proteins. The encoded protein is an ATP dependent microtubule-based motor protein that is involved in the intracellular transport of membranous organelles. This protein also associates with condensed chromosome arms and may be involved in maintaining chromosome integrity during mitosis. This protein may also be involved in the organization of the central spindle prior to cytokinesis. A pseudogene of this gene is found on chromosome X.