Warehouse Overstock Promotion |  Save 10%  on Premium Lab Supplies |  Shop Now

Menu

This product has been added to the cart.

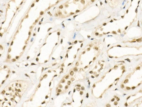
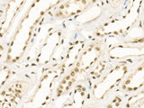
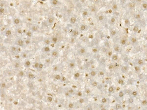
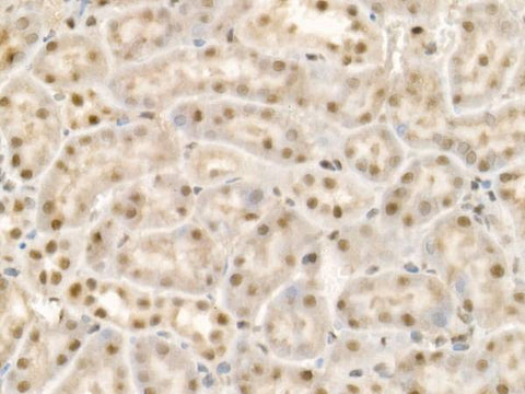
KDM1A Polyclonal Antibody

SKU: E-AB-93341-200

  • $ 67795


Request a Quote

KDM1A Polyclonal Antibody

 

SKU # E-AB-93341
Reactivity Human, Mouse, Rat
Host Rabbit
Applications WB, IHC, IF

 

Product Details

Isotype IgG
Host Rabbit
Reactivity Human, Mouse, Rat
Applications WB, IHC, IF
Clonality Polyclonal
Immunogen Recombinant fusion protein of human KDMIA
Abbre KDM1A
Synonyms AOF2, BHC110, CPRF, KDM1, LSD1, lysine demethylase 1A, KDM1A
Swissprot
Calculated MW 92 kDa/95 kDa
Observed MW 110 kDa
Cellular Localization Nucleus
Concentration 1 mg/mL
Buffer Phosphate buffered solution, pH 7.4, containing 0.05% stabilizer and 50% glycerol.
Purification Method Affinity purification
Research Areas Cancer, Epigenetics and Nuclear Signaling
Conjugation Unconjugated
Storage Store at -20°C Valid for 12 months. Avoid freeze / thaw cycles.
Shipping The product is shipped with ice pack,upon receipt,store it immediately at the temperature recommended.

 

Related Reagents

Applications Recommended Dilution
WB 1:500-1:2000
IHC 1:50-1:200
IF 1:50-1:200

 

Background

This gene encodes a nuclear protein containing a SWIRM domain, a FAD-binding motif, and an amine oxidase domain. This protein is a component of several histone deacetylase complexes, though it silences genes by functioning as a histone demethylase. Alternative splicing results in multiple transcript variants.