Warehouse Overstock Promotion |  Save 10%  on Premium Lab Supplies |  Shop Now

Menu

This product has been added to the cart.

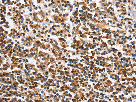
IRAK3 Polyclonal Antibody Store at -20°C

SKU: E-AB-14167-200

  • $ 55995


Request a Quote

IRAK3 Polyclonal Antibody Store at -20°C

 

SKU # E-AB-14167
Reactivity Human,  Mouse
Host Rabbit
Applications IHC

 

Product Details

Isotype IgG
Host Rabbit
Reactivity Human,  Mouse
Applications IHC
Clonality Polyclonal
Immunogen Recombinant protein of human IRAK3
Abbre IRAK3
Synonyms ASRT5,  IL 1 receptor associated kinase M,  IL-1 receptor-associated kinase M,  IL1 receptor associated kinase M,  IRAK M,  IRAK-,  IRAK-3,  Interleukin 1 receptor associated kinase 3,  Interleukin 1 receptor associated kinase M,  Interleukin-1 receptor-associated kinase 3
Swissprot
Cellular Localization Nucleus, Other locations: cytoplasm.
Concentration 0.6 mg/mL
Buffer Phosphate buffered solution, pH 7.4, containing 0.05% stabilizer and 50% glycerol.
Purification Method Affinity purification
Research Areas Cancer,  Immunology,  Signal Transduction
Conjugation Unconjugated
Storage Store at -20°C Valid for 12 months. Avoid freeze / thaw cycles.
Shipping The product is shipped with ice pack,upon receipt,store it immediately at the temperature recommended.

 

Related Reagents

Applications Recommended Dilution
IHC 1:50-1:200

 

Background

This gene encodes a member of the interleukin-1 receptor-associated kinase protein family. Members of this family are essential components of the Toll/IL-R immune signal transduction pathways. This protein is primarily expressed in monocytes and macrophages and functions as a negative regulator of Toll-like receptor signaling. Mutations in this gene are associated with a susceptibility to asthma. Alternate splicing results in multiple transcript variants.