Warehouse Overstock Promotion |  Save 10%  on Premium Lab Supplies |  Shop Now

Menu

This product has been added to the cart.

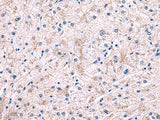
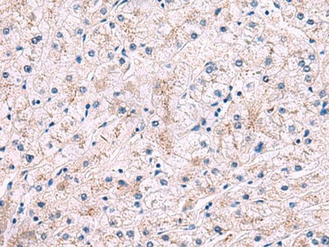
IP6K2 Polyclonal Antibody Reactivity Rat

SKU: E-AB-52024-200

  • $ 55995


Request a Quote

IP6K2 Polyclonal Antibody Reactivity Rat

 

SKU # E-AB-52024
Reactivity Human, Mouse, Rat
Host Rabbit
Applications WB, IHC

 

Product Details

Isotype IgG
Host Rabbit
Reactivity Human, Mouse, Rat
Applications WB, IHC
Clonality Polyclonal
Immunogen Synthetic peptide of human IP6K2
Abbre IP6K2
Synonyms ATP 1D myo inositol hexakisphosphate phosphotransferase,  IHPK 2,  IHPK2,  IP6K2,  Inositol hexakisphosphate kinase 2,  InsP6 kinase 2,  Ip6k2,  KIAA0263,  OTTHUMP00000164824,  P(i) uptake stimulator,  P(i)-uptake stimulator,  Pi uptake stimulator,  PiUS
Swissprot
Calculated MW 49 kDa
Observed MW Refer to figures
Cellular Localization Nucleus.
Concentration 1.44 mg/mL
Buffer Phosphate buffered solution, pH 7.4, containing 0.05% stabilizer and 50% glycerol.
Purification Method Antigen affinity purification
Research Areas Signal Transduction
Conjugation Unconjugated
Storage Store at -20°C Valid for 12 months. Avoid freeze / thaw cycles.
Shipping The product is shipped with ice pack, upon receipt, store it immediately at the temperature recommended.

 

Related Reagents

Applications Recommended Dilution
WB  1:500-1:2000
IHC 1:30-1:150

 

Background

This gene encodes a protein that belongs to the inositol phosphokinase (IPK) family. This protein is likely responsible for the conversion of inositol hexakisphosphate (InsP6) to diphosphoinositol pentakisphosphate (InsP7/PP-InsP5). It may also convert 1,3,4,5,6-pentakisphosphate (InsP5) to PP-InsP4 and affect the growth suppressive and apoptotic activities of interferon-beta in some ovarian cancers. Alternative splicing results in multiple transcript variants encoding different isoforms.