Warehouse Overstock Promotion |  Save 10%  on Premium Lab Supplies |  Shop Now

Menu

This product has been added to the cart.

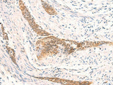
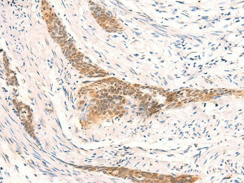
HSPA4L Polyclonal Antibody

SKU: E-AB-52003-200

  • $ 55995


Request a Quote

HSPA4L Polyclonal Antibody

 

SKU # E-AB-52003
Reactivity Human, Mouse
Host Rabbit
Applications IHC

 

Product Details

Isotype IgG
Host Rabbit
Reactivity Human, Mouse
Applications IHC
Clonality Polyclonal
Immunogen Synthetic peptide of human HSPA4L
Abbre HSPA4L
Synonyms 94kDa,  AI461691,  APG 1,  Heat shock 70kDa protein 4 like,  MGC117843,  MGC187594,  OTTMUSP00000027739,  Osmotic stress protein 94,  Osp94
Swissprot
Cellular Localization Cytoplasm, Nucleus, Note= May translocate to the nucleus after heat shock.
Concentration 0.9 mg/mL
Buffer Phosphate buffered solution, pH 7.4, containing 0.05% stabilizer and 50% glycerol.
Purification Method Antigen affinity purification
Research Areas Signal transduction
Conjugation Unconjugated
Storage Store at -20°C Valid for 12 months. Avoid freeze / thaw cycles.
Shipping The product is shipped with ice pack, upon receipt, store it immediately at the temperature recommended.

 

Related Reagents

Applications Recommended Dilution
IHC 1:30-1:150

 

Background

The protein encoded by this gene is heat shock inducible and may act as a chaperone. The encoded protein can protect the heat-shocked cell against the harmful effects of aggregated proteins. This gene is highly expressed in leukemia cells and may be a good target for therapeutic intervention. Several transcripts encoding different isoforms have been found for this gene.