Warehouse Overstock Promotion |  Save 10%  on Premium Lab Supplies |  Shop Now

Menu

This product has been added to the cart.

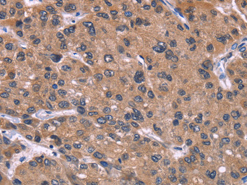
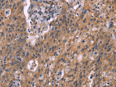
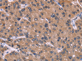
HSD11B2 Polyclonal Antibody Store at -20°C

SKU: E-AB-13311-200

  • $ 55995


Request a Quote

HSD11B2 Polyclonal Antibody Store at -20°C

 

SKU # E-AB-13311
Reactivity Human
Host Rabbit
Applications IHC

 

Product Details

Isotype IgG
Host Rabbit
Reactivity Human
Applications IHC
Clonality Polyclonal
Immunogen Synthetic peptide of human HSD11B2
Abbre HSD11B2
Synonyms 11 DH2,  11 beta HSD2,  11 beta hydroxysteroid dehydrogenase type 2,  11-DH2,  11-beta-HSD2,  11-beta-hydroxysteroid dehydrogenase type 2,  AME,  AME1,  Corticosteroid 11 beta dehydrogenase isozyme 2,  Corticosteroid 11-beta-dehydrogenase isozyme 2,  DHI2,  HSD11B2,  HSD11K,  HSD2
Swissprot
Cellular Localization Microsome. Endoplasmic reticulum.
Concentration 0.6 mg/mL
Buffer Phosphate buffered solution, pH 7.4, containing 0.05% stabilizer and 50% glycerol.
Purification Method Affinity purification
Research Areas Cancer,  Cell Biology,  Cardiovascular,  Metabolism,  Signal Transduction
Conjugation Unconjugated
Storage Store at -20°C Valid for 12 months. Avoid freeze / thaw cycles.
Shipping The product is shipped with ice pack, upon receipt, store it immediately at the temperature recommended.

 

Related Reagents

Applications Recommended Dilution
IHC 1:50-1:200

 

Background

There are at least two isozymes of the corticosteroid 11-beta-dehydrogenase, a microsomal enzyme complex responsible for the interconversion of cortisol and cortisone. The type I isozyme has both 11-beta-dehydrogenase (cortisol to cortisone) and 11-oxoreductase (cortisone to cortisol) activities. The type II isozyme, encoded by this gene, has only 11-beta-dehydrogenase activity. In aldosterone-selective epithelial tissues such as the kidney, the type II isozyme catalyzes the glucocorticoid cortisol to the inactive metabolite cortisone, thus preventing illicit activation of the mineralocorticoid receptor.