Warehouse Overstock Promotion |  Save 10%  on Premium Lab Supplies |  Shop Now

Menu

This product has been added to the cart.

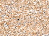
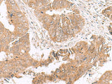
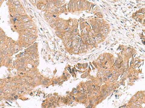
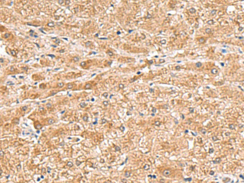
HMGCLL1 Polyclonal Antibody Reactivity Human

SKU: E-AB-52900-200

  • $ 55995


Request a Quote

HMGCLL1 Polyclonal Antibody Reactivity Human

 

SKU # E-AB-52900
Reactivity Human, Mouse, Rat
Host Rabbit
Applications WB, IHC

 

Product Details

Isotype IgG
Host Rabbit
Reactivity Human, Mouse, Rat
Applications WB, IHC
Clonality Polyclonal
Immunogen Fusion protein of human HMGCLL1
Abbre HMGCLL1
Synonyms cytoplasmic,  3 hydroxymethyl 3 methylglutaryl CoA lyase,  3 hydroxymethyl 3 methylglutaryl CoA lyase like 1,  3 hydroxymethyl 3 methylglutaryl CoA lyase like protein 1,  3 hydroxymethyl 3 methylglutaryl Coenzyme A lyase like 1,  Endoplasmic reticulum 3,  bA418P12.1
Swissprot
Calculated MW 40 kDa
Observed MW Refer to figures
Concentration 1.26 mg/mL
Buffer Phosphate buffered solution, pH 7.4, containing 0.05% stabilizer and 50% glycerol.
Purification Method Antigen affinity purification
Research Areas Metabolism,  Signal transduction
Conjugation Unconjugated
Storage Store at -20°C Valid for 12 months. Avoid freeze / thaw cycles.
Shipping The product is shipped with ice pack, upon receipt, store it immediately at the temperature recommended.

 

Related Reagents

Applications Recommended Dilution
WB 1:1000-1:5000
IHC 1:50-1:300

 

Background

Non-mitochondrial 3-hydroxymethyl-3-methylglutaryl-CoA lyase that catalyzes a cation-dependent cleavage of (S)-3-hydroxy-3-methylglutaryl-CoA into acetyl-CoA and acetoacetate, a key step in ketogenesis, the products of which support energy production in nonhepatic animal tissues.