Warehouse Overstock Promotion |  Save 10%  on Premium Lab Supplies |  Shop Now

Menu

This product has been added to the cart.

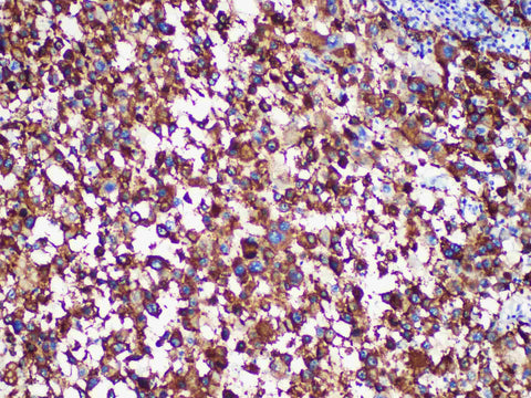
HMB-45 Monoclonal Antibody Stored at -20°C

HMB-45 Monoclonal Antibody Stored at -20°C

SKU: ELAB6942-M-0.1

  • $ 61195


Request a Quote

HMB-45 Monoclonal Antibody Stored at -20°C

 

Product Details

Host Mouse
Reactivity Human
Applications IHC-P
Synonyms HMB-45
Cellular Localization Cytoplasm
Tissue Specificity melanoma
Storage The concentrated should be stored at -20°C protecting from light,Valid for 12 months.
Shipping Ice bag

 

Background

HMB45 is a melanoma-associated antigen that is mainly expressed in immature melanocytes. It was also expressed in activated and neoplastic melanocytes and other neural crest-derived tumors. It was also expressed in normal breast epithelium, some normal sweat glands, sweat gland-derived tumors and angiomyolipoma, and occasionally in carcinoma. "It is more specific than S-100 or NKl/C3 for the diagnosis of malignant melanoma, but the sensitivity is less than 90%, especially in metastatic melanoma."