Warehouse Overstock Promotion |  Save 10%  on Premium Lab Supplies |  Shop Now

Menu

This product has been added to the cart.

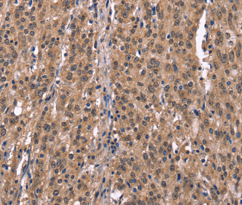
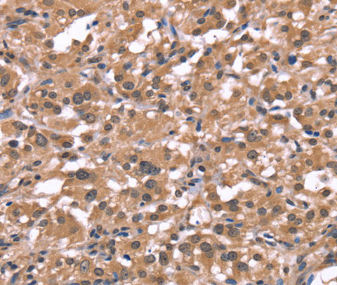
Histamine H1 Receptor Polyclonal Antibody

SKU: E-AB-13307-200

  • $ 55995


Request a Quote

Histamine H1 Receptor Polyclonal Antibody

 

SKU # E-AB-13307
Reactivity Human
Host Rabbit
Applications WB, IHC

 

Product Details

Isotype IgG
Host Rabbit
Reactivity Human
Applications WB, IHC
Clonality Polyclonal
Immunogen Synthetic peptide of human HRH1
Abbre HRH1
Synonyms BPHS,  H1 R,  H1R,  HH1R,  HRH1,  HisH1,  Histamine H(1) receptor,  Histamine H1 receptor,  Histamine receptor H1,  Histamine receptor subclass H1,  Hrh1,  homolog of,  mouse
Swissprot
Calculated MW 56 kDa
Cellular Localization Cell membrane.
Concentration 1 mg/mL
Buffer Phosphate buffered solution, pH 7.4, containing 0.05% stabilizer and 50% glycerol.
Purification Method Affinity purification
Research Areas Immunology,  Signal Transduction
Conjugation Unconjugated
Storage Store at -20°C Valid for 12 months. Avoid freeze / thaw cycles.
Shipping The product is shipped with ice pack, upon receipt, store it immediately at the temperature recommended.

 

Related Reagents

Applications Recommended Dilution
WB 1:500-1:2000
IHC 1:50-1:200

 

Background

Histamine is a ubiquitous messenger molecule released from mast cells, enterochromaffin-like cells, and neurons. Its various actions are mediated by histamine receptors H1, H2, H3 and H4. This gene was thought to be intronless until recently. The protein encoded by this gene is an integral membrane protein and belongs to the G protein-coupled receptor superfamily. It mediates the contraction of smooth muscles, the increase in capillary permeability due to contraction of terminal venules, the release of catecholamine from adrenal medulla, and neurotransmission in the central nervous system.