Warehouse Overstock Promotion |  Save 10%  on Premium Lab Supplies |  Shop Now

Menu

This product has been added to the cart.

HEBP1 Polyclonal Antibody

SKU: E-AB-19977-200

  • $ 55995


Request a Quote

HEBP1 Polyclonal Antibody

 

SKU # E-AB-19977
Reactivity Human
Host Rabbit
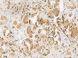
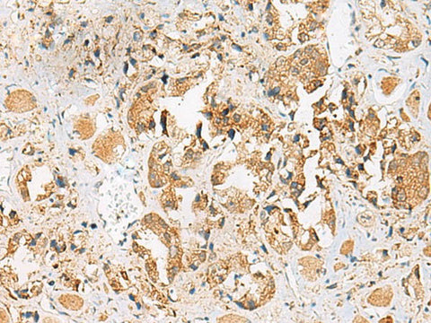
Applications WB,  IHC

 

Product Details

Isotype IgG
Host Rabbit
Reactivity Human
Applications WB,  IHC
Clonality Polyclonal
Immunogen Synthetic peptide of human HEBP1
Abbre HEBP1
Synonyms HBP,  HEBP,  HEBP1,  Hebp1,  Heme binding protein 1,  Heme-binding protein 1,  p22HBP
Swissprot
Calculated MW 21 kDa
Observed MW Refer to figures
Cellular Localization Cytoplasm.
Concentration 1.08 mg/mL
Buffer Phosphate buffered solution, pH 7.4, containing 0.05% stabilizer and 50% glycerol.
Purification Method Antigen affinity purification
Research Areas Cardiovascular,  Metabolism,  Signal transduction
Conjugation Unconjugated
Storage Store at -20°C Valid for 12 months. Avoid freeze / thaw cycles.
Shipping The product is shipped with ice pack,upon receipt,store it immediately at the temperature recommended.

 

Related Reagents

Applications Recommended Dilution
WB 1:500-1:2000
IHC  1:40-1:200

 

Background   

The full-length protein encoded by this gene is an intracellular tetrapyrrole-binding protein. This protein includes a natural chemoattractant peptide of 21 amino acids at the N-terminus, which is a natural ligand for formyl peptide receptor-like receptor 2 (FPRL2) and promotes calcium mobilization and chemotaxis in monocytes and dendritic cells.