Warehouse Overstock Promotion |  Save 10%  on Premium Lab Supplies |  Shop Now

Menu

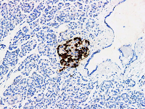
Glucagon Monoclonal Antibody stored at 2~8°C

SKU: PA6062-1.5

To better serve you, we would like to discuss your specific requirement.
Please Contact Us for a quote.


-Request a Quote

Glucagon Monoclonal Antibody stored at 2~8°C 

 

Product Details

Host Mouse
Reactivity Human
Applications IHC-P
Synonyms Glucagon
Cellular Localization Cytoplasm
Tissue Specificity Pancreas
Storage The RTU should be stored at 2~8°C protecting from light (Do not freeze),Valid for 12 months.
Shipping Ice bag

 

Background

Glucagon is a hormone synthesized and secreted by islet α cells. It is mainly used for functional classification and judgeing of islet cell tumors.

Share Share