Warehouse Overstock Promotion |  Save 10%  on Premium Lab Supplies |  Shop Now

Menu

This product has been added to the cart.

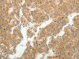
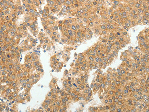
GEMIN2 Polyclonal Antibody Store at -20°C

SKU: E-AB-15852-200

  • $ 55995


Request a Quote

GEMIN2 Polyclonal Antibody Store at -20°C

 

SKU # E-AB-15852
Reactivity Human,  Mouse,  Rat
Host Rabbit
Applications IHC

 

Product Details

Isotype IgG
Host Rabbit
Reactivity Human,  Mouse,  Rat
Applications IHC
Clonality Polyclonal
Immunogen Synthetic peptide of human GEMIN2
Abbre GEMIN2
Synonyms Component of gems 2,  GEMI2,  Gem (nuclear organelle) associated protein 2,  Gem associated protein 2,  Gemin-2,  SIP 1,  SIP-1,  SIP1,  SIP1 delta,  SIP1-delta,  SMN interacting protein 1,  SMN interacting protein 1 delta,  SMN-interacting protein 1,  Survival interacting,  gemin2
Swissprot
Cellular Localization Nucleus>gem. Cytoplasm. Localized in subnuclear structures next to coiled bodies, called gems, which are highly enriched in spliceosomal snRNPs. Also found in the cytoplasm.
Concentration 0.2 mg/mL
Buffer Phosphate buffered solution, pH 7.4, containing 0.05% stabilizer and 50% glycerol.
Purification Method Affinity purification
Research Areas Cancer,  Neuroscience,  Signal Transduction
Conjugation Unconjugated
Storage Store at -20°C Valid for 12 months. Avoid freeze / thaw cycles.
Shipping The product is shipped with ice pack,upon receipt,store it immediately at the temperature recommended.

 

Related Reagents

Applications Recommended Dilution
IHC 1:50-1:200

 

Background

This gene encodes one of the proteins found in the SMN complex, which consists of several gemin proteins and the protein known as the survival of motor neuron protein. The SMN complex is localized to a subnuclear compartment called gems (gemini of coiled bodies) and is required for assembly of spliceosomal snRNPs and for pre-mRNA splicing. This protein interacts directly with the survival of motor neuron protein and it is required for formation of the SMN complex. A knockout mouse targeting the mouse homolog of this gene exhibited disrupted snRNP assembly and motor neuron degeneration.