Warehouse Overstock Promotion |  Save 10%  on Premium Lab Supplies |  Shop Now

Menu

This product has been added to the cart.

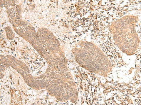
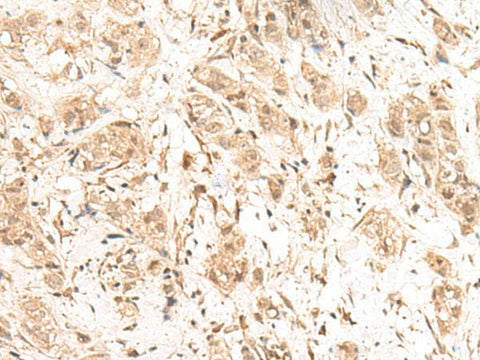
FIZ1 Polyclonal Antibody

SKU: E-AB-19871-200

  • $ 55995


Request a Quote

FIZ1 Polyclonal Antibody

 

SKU # E-AB-19871
Reactivity Human,  Mouse
Host Rabbit
Applications IHC

 

Product Details

Isotype IgG
Host Rabbit
Reactivity Human,  Mouse
Applications IHC
Clonality Polyclonal
Immunogen Synthetic peptide of human FIZ1
Abbre FIZ1
Synonyms FLJ00416,  FLJ14768,  FLT3 interacting zinc finger 1,  Flt3 interacting zinc finger protein 1,  ZNF798,  Zinc finger protein 798
Swissprot
Cellular Localization Cytoplasm. Nucleus.
Concentration 1.2 mg/mL
Buffer Phosphate buffered solution, pH 7.4, containing 0.05% stabilizer and 50% glycerol.
Purification Method Antigen affinity purification
Research Areas Epigenetics and Nuclear Signaling
Conjugation Unconjugated
Storage Store at -20°C Valid for 12 months. Avoid freeze / thaw cycles.
Shipping The product is shipped with ice pack,upon receipt,store it immediately at the temperature recommended.

 

Related Reagents

Applications Recommended Dilution
IHC 1:40-1:200

 

Background   

This gene encodes zinc finger protein, which interacts with a receptor tyrosine kinase involved in the regulation of hematopoietic and lymphoid cells. This gene product also interacts with a transcription factor that regulates the expression of rod-specific genes in retina.