Warehouse Overstock Promotion |  Save 10%  on Premium Lab Supplies |  Shop Now

Menu

This product has been added to the cart.

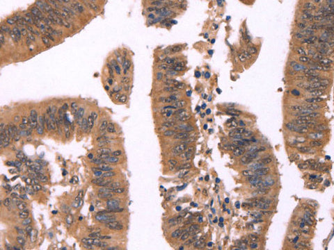
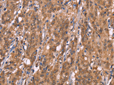
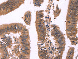
FBXO31 Polyclonal Antibody Store at -20°C

SKU: E-AB-13238-200

  • $ 55995


Request a Quote

FBXO31 Polyclonal Antibody Store at -20°C

 

SKU # E-AB-13238
Reactivity Human, Mouse, Rat
Host Rabbit
Applications IHC

 

Product Details

Isotype IgG
Host Rabbit
Reactivity Human, Mouse, Rat
Applications IHC
Clonality Polyclonal
Immunogen Synthetic peptide of human FBXO31
Abbre FBXO31
Synonyms DKFZp434B027,  DKFZp434J1815,  F box only protein 31,  F box protein 31,  F-box only protein 31,  FBX14,  FBX31,  FBXO14,  FLJ22477,  Fbxo31,  MGC15419,  MGC9527,  Putative breast cancer tumor suppressor,  SCF ubiquitin ligase specificity factor,  pp2386
Swissprot
Cellular Localization Cytoskeleton, centrosome, Cytosol, Other locations: neuronal cell body, SCF ubiquitin ligase complex.
Concentration 0.4 mg/mL
Buffer Phosphate buffered solution, pH 7.4, containing 0.05% stabilizer and 50% glycerol.
Purification Method Affinity purification
Research Areas Cancer,  Cell Biology
Conjugation Unconjugated
Storage Store at -20°C Valid for 12 months. Avoid freeze / thaw cycles.
Shipping The product is shipped with ice pack, upon receipt, store it immediately at the temperature recommended.

 

Related Reagents

Applications Recommended Dilution
IHC 1:50-1:200

 

Background

This gene is a member of the F-box family. Members are classified into three classes according to the substrate interaction domain, FBW for WD40 repeats, FBL for leucing-rich repeats, and FBXO for other domains. This protein, classified into the last category because of the lack of a recognizable substrate binding domain, has been proposed to be a component of the SCF ubiquitination complex. It is thought to bind and recruit substrate for ubiquitination and degradation. This protein may have a role in regulating the cell cycle as well as dendrite growth and neuronal migration. Alternative splicing results in multiple transcript variants.