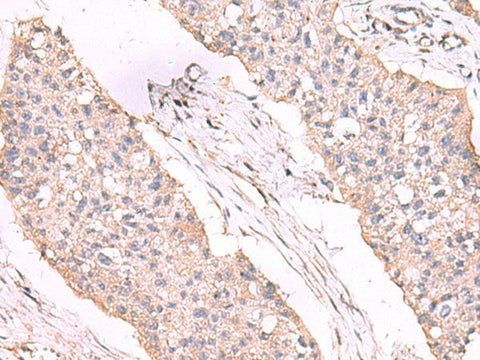
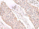
ESM1 Polyclonal Antibody Reactivity Human
Couldn't load pickup availability
Still have questions? Ask our experts!
ESM1 Polyclonal Antibody Reactivity Human
| SKU # | E-AB-52188 |
| Reactivity |
Human |
| Host | Rabbit |
| Applications | IHC |
Product Details
| Isotype | IgG |
| Host | Rabbit |
| Reactivity | Human |
| Applications | IHC |
| Clonality | Polyclonal |
| Immunogen | Fusion protein of human ESM1 |
| Abbre | ESM1 |
| Synonyms | ESM 1, ESM 1 secretory protein, ESM-1, ESM1, ESM1 secretory protein, Endocan, Endothelial cell specific molecule 1, Endothelial cell-specific molecule 1, Esm1 |
| Swissprot | |
| Cellular Localization | Secreted. |
| Concentration | 0.96 mg/mL |
| Buffer | Phosphate buffered solution, pH 7.4, containing 0.05% stabilizer and 50% glycerol. |
| Purification Method | Antigen affinity purification |
| Research Areas | Tags, Cell Markers |
| Conjugation | Unconjugated |
| Storage | Store at -20°C Valid for 12 months. Avoid freeze / thaw cycles. |
| Shipping | The product is shipped with ice pack,upon receipt,store it immediately at the temperature recommended. |
Related Reagents
| Applications | Recommended Dilution |
| IHC | 1:50-1:300 |
Background
This gene encodes a secreted protein which is mainly expressed in the endothelial cells in human lung and kidney tissues. The expression of this gene is regulated by cytokines, suggesting that it may play a role in endothelium-dependent pathological disorders. The transcript contains multiple polyadenylation and mRNA instability signals. Two transcript variants encoding different isoforms have been found for this gene.