EMA Monoclonal Antibody stored at 2~8°C
Couldn't load pickup availability
Still have questions? Ask our experts!
EGFR Monoclonal Antibody stored at 2~8°C
Product Details
| Host | Mouse |
| Reactivity | Human |
| Applications | IHC-P |
| Synonyms | EMA |
| Cellular Localization | cell membrane/Cytoplasm |
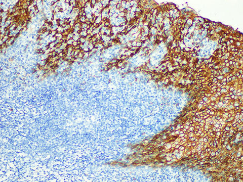
| Tissue Specificity | Tonsil |
| Storage | The RTU should be stored at 2~8°C protecting from light (Do not freeze),Valid for 12 months. |
| Shipping | Ice bag |
Background
Epithelial Membrane Antigen (EMA) is a group of glycoprotein, which is widely expressed in various normal epithelial cell membranes and tumors. The expression range is similar to that of cytokeratin, but its expression in visceral gland epithelium is better than that of cytokeratin. Therefore, for epithelial tumors, especially for poorly differentiated adenocarcinoma, it is better to combine with cytokeratin to improve the positive rate. EMA high temperature repair can enhance staining strength.