Warehouse Overstock Promotion |  Save 10%  on Premium Lab Supplies |  Shop Now

Menu

This product has been added to the cart.

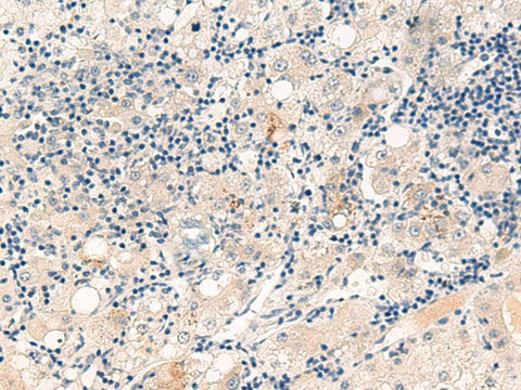
CYYR1 Polyclonal Antibody Reactivity Human

SKU: E-AB-52891-200

  • $ 55995


Request a Quote

CYYR1 Polyclonal Antibody Reactivity Human

 

SKU # E-AB-52891
Reactivity Human, Mouse
Host Rabbit
Applications IHC

 

Product Details

Isotype IgG
Host Rabbit
Reactivity Human, Mouse
Applications IHC
Clonality Polyclonal
Immunogen Fusion protein of human CYYR1
Abbre CYYR1
Synonyms C21orf95,  CYYR1,  Cysteine and tyrosine rich 1,  Cysteine and tyrosine-rich protein 1,  Cysteine/tyrosine rich 1,  MGC107464,  Proline-rich domain-containing protein
Swissprot
Cellular Localization Membrane.
Concentration 0.96 mg/mL
Buffer Phosphate buffered solution, pH 7.4, containing 0.05% stabilizer and 50% glycerol.
Purification Method Antigen affinity purification
Research Areas Cell Biology
Conjugation Unconjugated
Storage Store at -20°C Valid for 12 months. Avoid freeze / thaw cycles.
Shipping The product is shipped with ice pack, upon receipt, store it immediately at the temperature recommended.

 

Related Reagents

Applications Recommended Dilution
IHC 1:50-1:300

 

Background

The function of this protein is unknown.