Warehouse Overstock Promotion |  Save 10%  on Premium Lab Supplies |  Shop Now

Menu

This product has been added to the cart.

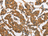
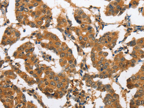
CXCL14 Polyclonal Antibody Store at -20°C

SKU: E-AB-14099-200

  • $ 33995


Request a Quote

CXCL14 Polyclonal Antibody Store at -20°C

 

SKU # E-AB-14099
Reactivity Human
Host Rabbit
Applications IHC

 

Product Details

Isotype IgG
Host Rabbit
Reactivity Human
Applications IHC
Clonality Polyclonal
Immunogen Recombinant protein of human CXCL14
Abbre CXCL14
Synonyms 1110031L23Rik,  1200006I23Rik,  AI414372,  BMAC,  BRAK,  Breast and kidney,  C-X-C motif chemokine 14,  C-X-C motif chemokine ligand 14,  CX,  CXC chemokine in breast and kidney,  CXC motif,  CXCL14,  Chaemokine,  Chemokine (C-X-C motif) ligand 14,  Chemokine BRAK,  bolekine,  ligand 14
Swissprot
Cellular Localization Secreted.
Concentration 0.8 mg/mL
Buffer Phosphate buffered solution, pH 7.4, containing 0.05% stabilizer and 50% glycerol.
Purification Method Affinity purification
Research Areas Cancer,  Immunology
Conjugation Unconjugated
Storage Store at -20°C Valid for 12 months. Avoid freeze / thaw cycles.
Shipping The product is shipped with ice pack,upon receipt,store it immediately at the temperature recommended.

 

Related Reagents

Applications Recommended Dilution
IHC 1:50-1:200

 

Background

This gene belongs to the cytokine gene family which encode secreted proteins involved in immunoregulatory and inflammatory processes. The protein encoded by this gene is structurally related to the CXC (Cys-X-Cys) subfamily of cytokines. Members of this subfamily are characterized by two cysteines separated by a single amino acid. This cytokine displays chemotactic activity for monocytes but not for lymphocytes, dendritic cells, neutrophils or macrophages. It has been implicated that this cytokine is involved in the homeostasis of monocyte-derived macrophages rather than in inflammation.