Warehouse Overstock Promotion |  Save 10%  on Premium Lab Supplies |  Shop Now

Menu

This product has been added to the cart.

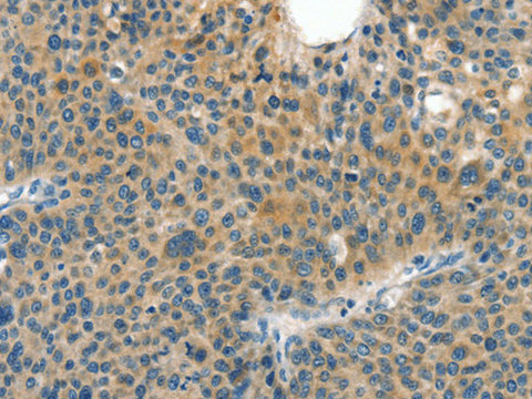
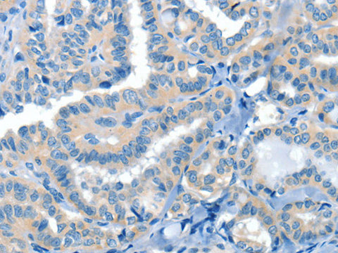
CRLF2 Polyclonal Antibody Store at -20°C

SKU: E-AB-13161-200

  • $ 55995


Request a Quote

CRLF2 Polyclonal Antibody Store at -20°C

 

SKU # E-AB-13161
Reactivity Human
Host Rabbit
Applications IHC

 

Product Details

Isotype IgG
Host Rabbit
Reactivity Human
Applications IHC
Clonality Polyclonal
Immunogen Synthetic peptide of human CRLF2
Abbre CRLF2
Synonyms CRL 2,  CRL2,  CRLF 2,  CRLF2,  CRLF2Y,  Crlf2,  Cytokine receptor CRL2 precusor,  Cytokine receptor like 2,  Cytokine receptor like factor 2,  Cytokine receptor like factor 2 precursor,  Cytokine receptor-like 2,  Cytokine receptor-like factor 2,  IL XR,  IL-XR,  ILXR,  Thymic stroma
Swissprot
Cellular Localization Secreted and Cell membrane.
Concentration 1.9 mg/mL
Buffer Phosphate buffered solution, pH 7.4, containing 0.05% stabilizer and 50% glycerol.
Purification Method Affinity purification
Research Areas Immunology
Conjugation Unconjugated
Storage Store at -20°C Valid for 12 months. Avoid freeze / thaw cycles.
Shipping The product is shipped with ice pack, upon receipt, store it immediately at the temperature recommended.

 

Related Reagents

Applications Recommended Dilution
IHC 1:50-1:200

 

Background

The protein encoded by this gene is a receptor for thymic stromal lymphopoietin (TSLP). Together with the interleukin 7 receptor (IL7R), the encoded protein and TSLP activate STAT3, STAT5, and JAK2 pathways, which control processes such as cell proliferation and development of the hematopoietic system. Two transcript variants encoding different isoforms have been found for this gene.