Warehouse Overstock Promotion |  Save 10%  on Premium Lab Supplies |  Shop Now

Menu

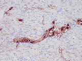
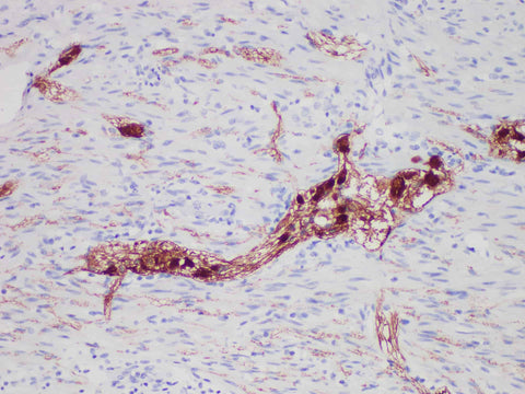
CR Monoclonal Antibody

SKU: PA6569-1.5

To better serve you, we would like to discuss your specific requirement.
Please Contact Us for a quote.


-Request a Quote

CR Monoclonal Antibody

 

Product Details

Host Mouse
Reactivity Human
Applications IHC-P
Synonyms CR
Cellular Localization Cytoplasm
Tissue Specificity Vermiform appendix
Storage The RTU should be stored at 2~8°C protecting from light (Do not freeze),Valid for 12 months.
Shipping Ice bag

 

Background

Calretinin(CR) is an intracellular calcium binding protein. During the cerebellum development, immunohistochemical tests discovered that Calretinin began to be weakly expressed in purkinje cells, blue cells and dentate nucleus neurons in the later stage (after 21 weeks of gestation). The staining intensity increased with the development of cerebellum. Calretinin is also expressed in normal and neoplastic mesothelioma cells, Calretinin is used to diagnosis differential between epithelial malignant mesothelioma and malignant lung adenocarcinoma.

Share Share