Warehouse Overstock Promotion |  Save 10%  on Premium Lab Supplies |  Shop Now

Menu
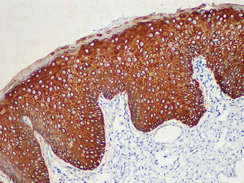
CK5/6 Monoclonal Antibody Synonyms CK5/6

CK5/6 Monoclonal Antibody Synonyms CK5/6

SKU: PA6040-1.5

To better serve you, we would like to discuss your specific requirement.
Please Contact Us for a quote.


-Request a Quote

CK5/6 Monoclonal Antibody Synonyms CK5/6

 

Product Details

Host Mouse
Reactivity Human
Applications IHC-P
Synonyms CK5/6
Cellular Localization Cytoplasm
Tissue Specificity Lung squamous carcinoma
Storage The RTU should be stored at 2~8°C protecting from light (Do not freeze),Valid for 12 months.
Shipping Ice bag

 

Background

Cytokeratin 5/6 (CK5/6) is a high molecular weight cytokeratin (58 kDa and 56kDa). In normal tissues, basal cells of squamous and ductal epithelium and some basal cells, myoepithelial cells and mesothelial cells of squamous epithelium were positive, while glandular epithelial cells were negative. CK5/6 has been shown to be expressed in the vast majority of squamous cell carcinomas, basal cell carcinomas, thymomas, salivary gland tumors, and mesotheliomas, but rarely reacts with lung adenocarcinomas. It is mainly used in the differential diagnosis of mesothelioma and adenocarcinoma, and can be used in the differential diagnosis of benign and malignant prostate lesions when combined with 34βE12 and P504S.

Share Share