Warehouse Overstock Promotion |  Save 10%  on Premium Lab Supplies |  Shop Now

Menu

This product has been added to the cart.

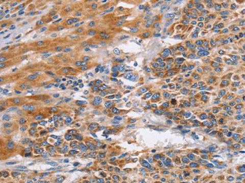
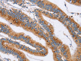
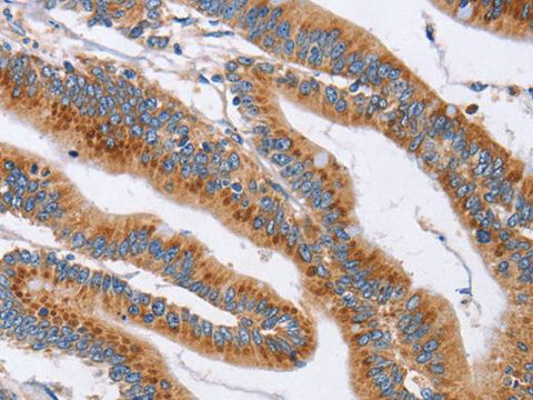
CD327 Polyclonal Antibody

SKU: E-AB-16314-200

  • $ 55995


Request a Quote

CD327 Polyclonal Antibody

 

SKU # E-AB-16314
Reactivity Human
Host Rabbit
Applications IHC

 

Product Details

Isotype IgG
Host Rabbit
Reactivity Human
Applications IHC
Clonality Polyclonal
Immunogen Synthetic peptide of human SIGLEC6
Abbre SIGLEC6
Synonyms CD327,  CD33 antigen-like 1,  CD33L,  CD33L1,  CD33L2,  CDw327,  OB-BP1,  OBBP1,  Obesity-binding protein 1,  SIGL6,  SIGLEC6,  Sialic acid-binding Ig-like lectin 6,  Siglec-6
Swissprot
Cellular Localization Secreted and Cell membrane.
Concentration 0.6 mg/mL
Buffer Phosphate buffered solution, pH 7.4, containing 0.05% stabilizer and 50% glycerol.
Purification Method Affinity purification
Research Areas Immunology
Conjugation Unconjugated
Storage Store at -20°C Valid for 12 months. Avoid freeze / thaw cycles.
Shipping The product is shipped with ice pack,upon receipt,store it immediately at the temperature recommended.

 

Related Reagents

Applications Recommended Dilution
IHC 1:50-1:200

 

Background

The SIGLEC6 gene to 19q13.3, which is where the CD33 gene is located.Putative adhesion molecule that mediates sialic-acid dependent binding to cells.Binds to alpha-2,6-linked sialic acid.The sialic acid recognition site may be masked by cis interactions with sialic acids on the same cell surface.Expressed at high levels in placenta (cyto- and syncytiotrophoblastic cells) and at lower levels in spleen, peripheral blood leukocytes (predominantly B-cells) and small intestine.