Warehouse Overstock Promotion |  Save 10%  on Premium Lab Supplies |  Shop Now

Menu

This product has been added to the cart.

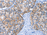
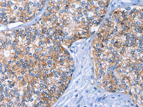
CD239 Polyclonal Antibody

SKU: E-AB-11053-200

  • $ 33995


Request a Quote

CD239 Polyclonal Antibody

 

SKU # E-AB-11053
Reactivity Human, Mouse
Host Rabbit
Applications WB, IHC

 

Product Details

Isotype IgG
Host Rabbit
Reactivity Human, Mouse
Applications WB, IHC
Clonality Polyclonal
Immunogen Recombinant protein of human BCAM
Abbre CD239
Synonyms AU,  Antigen identified by monoclonal F8,  Auberger B antigen,  B CAM cell surface glycoprotein,  B cell adhesion molecule,  B-CAM cell surface glycoprotein,  Ba,  Basal cell adhesion molecule (Lu and Au blood groups),  Basal cell adhesion molecule (Lutheran blood group)
Swissprot
Calculated MW 67 kDa
Cellular Localization Membrane.
Concentration 0.4 mg/mL
Buffer Phosphate buffered solution, pH 7.4, containing 0.05% stabilizer and 50% glycerol.
Purification Method Affinity purification
Research Areas Cancer,  Cardiovascular,  Immunology
Conjugation Unconjugated
Storage Store at -20°C Valid for 12 months. Avoid freeze / thaw cycles.
Shipping The product is shipped with ice pack,upon receipt,store it immediately at the temperature recommended.

 

Related Reagents

Applications Recommended Dilution
WB 1:500-1:2000
IHC 1:25-1:100

 

Background

This gene encodes Lutheran blood group glycoprotein, a member of the immunoglobulin superfamily and a receptor for the extracellular matrix protein, laminin.The protein contains five extracellular immunoglobulin domains, a single transmembrane domain, and a short C-terminal cytoplasmic tail.This protein may play a role in epithelial cell cancer and in vaso-occlusion of red blood cells in sickle cell disease.Polymorphisms in this gene define some of the antigens in the Lutheran system and also the Auberger system.Inactivating variants of this gene result in the recessive Lutheran null phenotype, Lu(a-b-), of the Lutheran blood group.Two transcript variants encoding different isoforms have been found for this gene.