Warehouse Overstock Promotion |  Save 10%  on Premium Lab Supplies |  Shop Now

Menu

This product has been added to the cart.

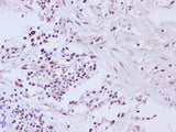
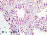
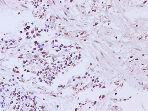
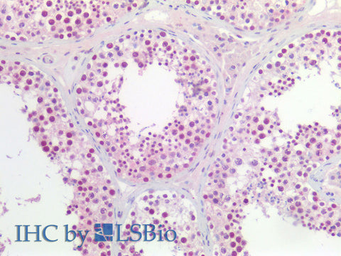
CCNL2 Polyclonal Antibody

SKU: E-AB-40247-200

  • $ 54295


Request a Quote

CCNL2 Polyclonal Antibody

 

SKU # E-AB-40247
Reactivity Human
Host Rabbit
Applications IHC

 

Product Details

Isotype IgG
Host Rabbit
Reactivity Human
Applications IHC
Clonality Polyclonal
Immunogen Recombinant Human Cyclin-L2 protien
Abbre CCNL2
Synonyms ANIA-6B,  CCNM,  HLA-ISO,  PCEE,  SB138
Swissprot
Cellular Localization Nucleus
Concentration 1 mg/mL
Buffer PBS with 0.05% proclin 300, 1% protective protein and 50% glycerol,pH7.4
Purification Method Antigen Affinity Purification
Conjugation Unconjugated
Storage Store at -20°C Valid for 12 months. Avoid freeze / thaw cycles.
Shipping The product is shipped with ice pack, upon receipt, store it immediately at the temperature recommended.

 

Related Reagents

Applications Recommended Dilution
IHC 1:50-1:200

 

Background

The protein encoded by this gene belongs to the cyclin family. Through its interaction with several proteins, such as RNA polymerase II, splicing factors, and cyclin-dependent kinases, this protein functions as a regulator of the pre-mRNA splicing process, as well as in inducing apoptosis by modulating the expression of apoptotic and antiapoptotic proteins. Alternatively spliced transcript variants encoding different isoforms have been described for this gene.