Warehouse Overstock Promotion |  Save 10%  on Premium Lab Supplies |  Shop Now

Menu

This product has been added to the cart.

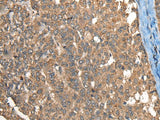
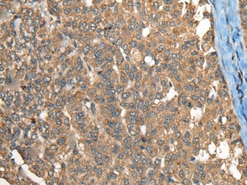
C1R Polyclonal Antibody Reactivity Human

SKU: E-AB-52498-200

  • $ 55995


Request a Quote

C1R Polyclonal Antibody Reactivity Human

 

SKU # E-AB-52498
Reactivity Human
Host Rabbit
Applications WB, IHC

 

Product Details

Isotype IgG
Host Rabbit
Reactivity Human
Applications WB, IHC
Clonality Polyclonal
Immunogen Fusion protein of human C1R
Abbre C1R
Synonyms C1 R,  C1R,  Complement C1r,  Complement C1r subcomponent,  Complement C1r subcomponent light chain,  Complement C1r subcomponent precursor,  Complement component 1 r subcomponent,  Complement component 1 subcomponent r
Swissprot
Calculated MW 80 kDa
Observed MW Refer to figures
Cellular Localization Extracellular region or secreted, blood microparticle, extracellular exosome, extracellular region, extracellular space.
Concentration 0.6 mg/mL
Buffer Phosphate buffered solution, pH 7.4, containing 0.05% stabilizer and 50% glycerol.
Purification Method Antigen affinity purification
Research Areas Immunology
Conjugation Unconjugated
Storage Store at -20°C Valid for 12 months. Avoid freeze / thaw cycles.
Shipping The product is shipped with ice pack, upon receipt, store it immediately at the temperature recommended.

 

Related Reagents

Applications Recommended Dilution
WB 1:500-1:2000
IHC 1:40-1:200

 

Background

C1R (Complement C1r) is a Protein Coding gene. Diseases associated with C1R include Ehlers-Danlos Syndrome, Periodontal Type, 1 and Periodontal Ehlers-Danlos Syndrome. Among its related pathways are Creation of C4 and C2 activators and Complement and coagulation cascades.Gene Ontology (GO) annotations related to this gene include calcium ion binding and serine-type peptidase activity. An important paralog of this gene is MASP2.