Warehouse Overstock Promotion |  Save 10%  on Premium Lab Supplies |  Shop Now

Menu

This product has been added to the cart.

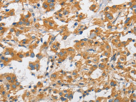
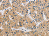
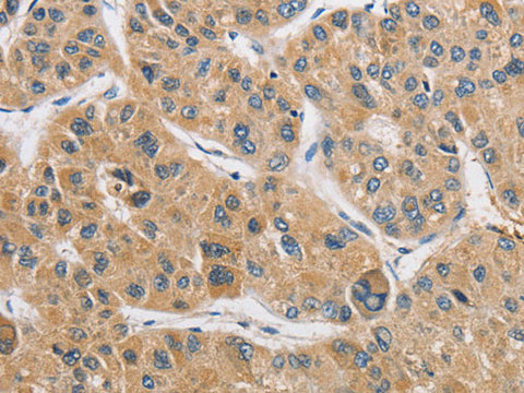
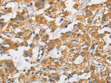
ARHGAP15 Polyclonal Antibody Store at -20°C

SKU: E-AB-10828-200

  • $ 33995


Request a Quote

ARHGAP15 Polyclonal Antibody Store at -20°C

 

SKU # E-AB-10828
Reactivity Human, Mouse, Rat
Host Rabbit
Applications WB, IHC

 

Product Details

Isotype IgG
Host Rabbit
Reactivity Human,  Mouse,  Rat
Applications WB,  IHC
Clonality Polyclonal
Immunogen Recombinant protein of human ARHGAP15
Abbre ARHGAP15
Synonyms ArhGAP15,  BM046,  RHG15,  Rho GTPase activating protein 15,  Rho GTPase-activating protein 15,  Rho type GTPase activating protein 15,  Rho-type GTPase-activating protein 15
Swissprot
Calculated MW 55 kDa
Cellular Localization Cytoplasm. Membrane.
Concentration 0.4 mg/mL
Buffer Phosphate buffered solution, pH 7.4, containing 0.05% stabilizer and 50% glycerol.
Purification Method Affinity purification
Research Areas Signal Transduction
Conjugation Unconjugated
Storage Store at -20°C Valid for 12 months. Avoid freeze / thaw cycles.
Shipping The product is shipped with ice pack,upon receipt,store it immediately at the temperature recommended.

 

Related Reagents

Applications Recommended Dilution
WB 1:200-1:1000
IHC 1:50-1:200

 

Background

RHO GTPases regulate diverse biologic processes, and their activity is regulated by RHO GTPase-activating proteins (GAPs), such as ARHGAP15. GTPase activator for the Rho-type GTPases by converting them to an inactive GDP-bound state. Has activity toward RAC1. Overexpression results in an increase in actin stress fibers and cell contraction.